Avantages et limites de l’orthodontie par aligneurs – Présentation d’un système

  • Par
  • Publié le . Paru dans L'Information Dentaire (page 22-27)
Information dentaire
Système de déplacement des dents controversé, les gouttières thermoformées Invisalign® présentent de nombreux atouts par rapport au traitement d’orthodontie fixe. Le but de cet article est de montrer, à l’aide d’images cliniques, ses avantages et ses limites, et tout particulièrement son intérêt dans un cas où des problèmes parodontaux sont présents.

GEPI – Groupe d’Étude en Parodontologie et Implantologie

L’utilisation du système par gouttières thermoformées Invisalign® présente de nombreux avantages dans les traitements d’orthodontie : esthétique, confort du patient, élocution, système amovible, hygiène, absence de résorptions radiculaires, réduction des phénomènes douloureux, facilité de traitement et bien d’autres qui vont motiver les patients à choisir cette solution.

Existe-t-il encore des limites dans les traitements par aligneurs ?

Les quelques limites qui existaient, dans les cas de certaines malocclusions ou dans les traitements avec extraction ont été repoussées grâce à des techniques auxiliaires.
Notre objectif est d’identifier les avantages de ce système à partir d’images cliniques et de montrer que peu de limites peuvent actuellement empêcher son utilisation.

Avantages du système

Esthétique

Le principal avantage du système Invisalign® est la transparence de la gouttière thermoformée. Elle est indétectable « à distance sociale ». On peut également noter une amélioration du sourire dès la pose de la gouttière, en raison de la brillance due à la réflexion de la lumière sur les dents recouvertes par l’aligneur (fig. 1a).
L’utilisation de ce traitement permet au patient, d’une part de porter ses gouttières sans que cela occasionne de difficultés dans sa vie personnelle, professionnelle et sociale, et, d’autre part, de ne pas être incommodé par des arcs et des brackets.
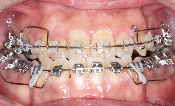
En effet, les systèmes fixes (avec bagues, brackets et fil) sont difficilement assumés par les adultes et parfois totalement incompatibles avec une vie professionnelle très exposée au public, au sein d’une société où l’apparence est capitale (fig. 1b).
La solution esthétique en matière d’appareillages fixes est la pose des arcs en lingual, mais la distance inter-bracket étant très petite, son accès difficile, leur utilisation est délicate. Par ailleurs, cette technique présente aussi d’autres inconvénients :…

Cet article est réservé aux abonnés.
Pour lire la suite :

Vous êtes abonné.e ? Connectez-vous
Mot de passe
oublié ?

Vous pouvez également :

Acheter l'article En version numérique

Thèmes abordés