Biomimétisme : la dent naturelle, une source d’inspiration

  • Par
  • Publié le . Paru dans L'Information Dentaire n°37 - 28 octobre 2020 (page 22-25)

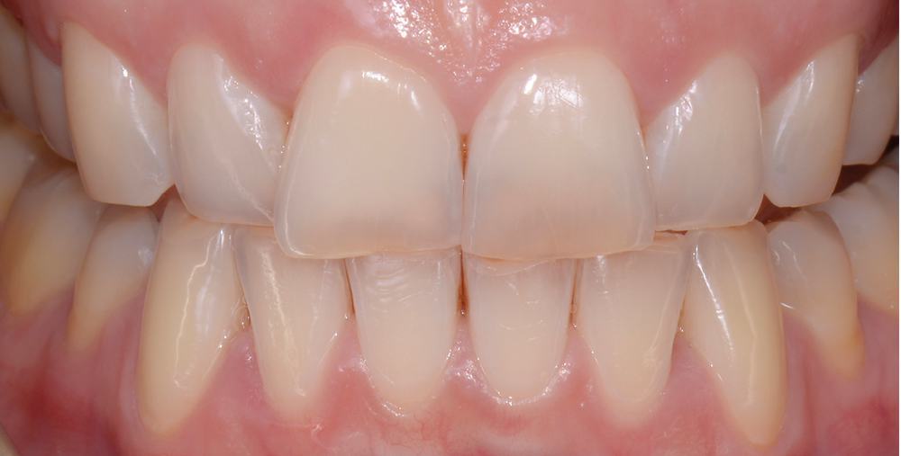
4. Patiente de 30 ans présentant une usure dentaire prématurée liée à un phénomène d’attrition.

Information dentaire

La recherche scientifique a pour objectif de mieux comprendre le monde dans lequel nous évoluons, d’en saisir les richesses et les subtilités. Le biomimétisme consiste à s’inspirer du monde vivant et à l’imiter pour créer de nouvelles technologies ou améliorer celles qui existent déjà.

Les concepts du biomimétisme sont adaptés en dentisterie depuis déjà plusieurs années et sont au cœur de la dentisterie contemporaine. Réparer une dent naturelle fracturée, usée, détruite, et lui permettre de retrouver son intégrité fonctionnelle et esthétique est un défi quotidien audacieux. Comprendre les configurations tridimensionnelles des différents tissus, leurs propriétés et leurs interactions permet de mieux appréhender les enjeux des techniques adhésives contemporaines.

Selon Magne et coll. (2003) [1], le concept biomimétique actuel peut être résumé en trois points :

– observer la dent naturelle ;

– respecter la dent naturelle ;

– copier la dent naturelle grâce aux techniques adhésives et à l’évolution des biomatériaux.

Observer la dent naturelle et comprendre ses caractéristiques histo-anatomiques

En dentisterie restauratrice, lors d’une procédure adhésive sur une dent, plusieurs tissus de compositions différentes entrent en jeu : l’émail, la dentine et la jonction amélo-dentinaire (JAD).

Microstructure et macrostructure de la dent naturelle

L’émail est le tissu le plus dur et le plus minéralisé du corps humain. Sa composition, essentiellement constituée de cristaux d’hydroxyapatite de calcium, le rend particulièrement rigide, mais également friable. Il est donc très peu déformable et la moindre contrainte est immédiatement transmise à la dentine sous-jacente.

Celle-ci a une structure moins solide que l’émail car moins minéralisée, ce qui lui confère davantage de souplesse et des propriétés plus plastiques et élastiques.

L’interface entre ces deux tissus, la JAD, fonctionne comme un amortisseur des contraintes grâce aux larges faisceaux de collagène dont elle est constituée. Ces fibres de collagène de type 1 proviennent de la dentine et traversent cette interface pour venir s’insérer dans l’émail, participant ainsi grandement à la résistance biomécanique de la dent…

Cet article est réservé aux abonnés.
Pour lire la suite :

Vous êtes abonné.e ? Connectez-vous
Mot de passe
oublié ?

Vous pouvez également :

Acheter l'article En version numérique
Acheter le numéro À l'unité

Thèmes abordés

Sur le même sujet

Esthétique

Article réservé à nos abonnés Un mois sans alcool pour repenser sa consommation : le Dry January revient

Le Défi de janvier (Dry January) revient e n 2026 pour sa septième édition. Cette campagne citoyenne semble s’imposer comme...
Esthétique

Article réservé à nos abonnés Rencontre avec Pierre Keller : gestion des tissus mous péri-implantaires

1er cas lauréatResponsable de séance : Othman MikouIntervenant : Pierre Keller  Extraction–implantation immédiate (EII) : volumes osseux et gingivaux suffisants...