Biopsie de la muqueuse orale au cabinet dentaire

  • Par
  • Publié le . Paru dans Réalités Cliniques n°4 - 15 décembre 2020 (page 320-329)

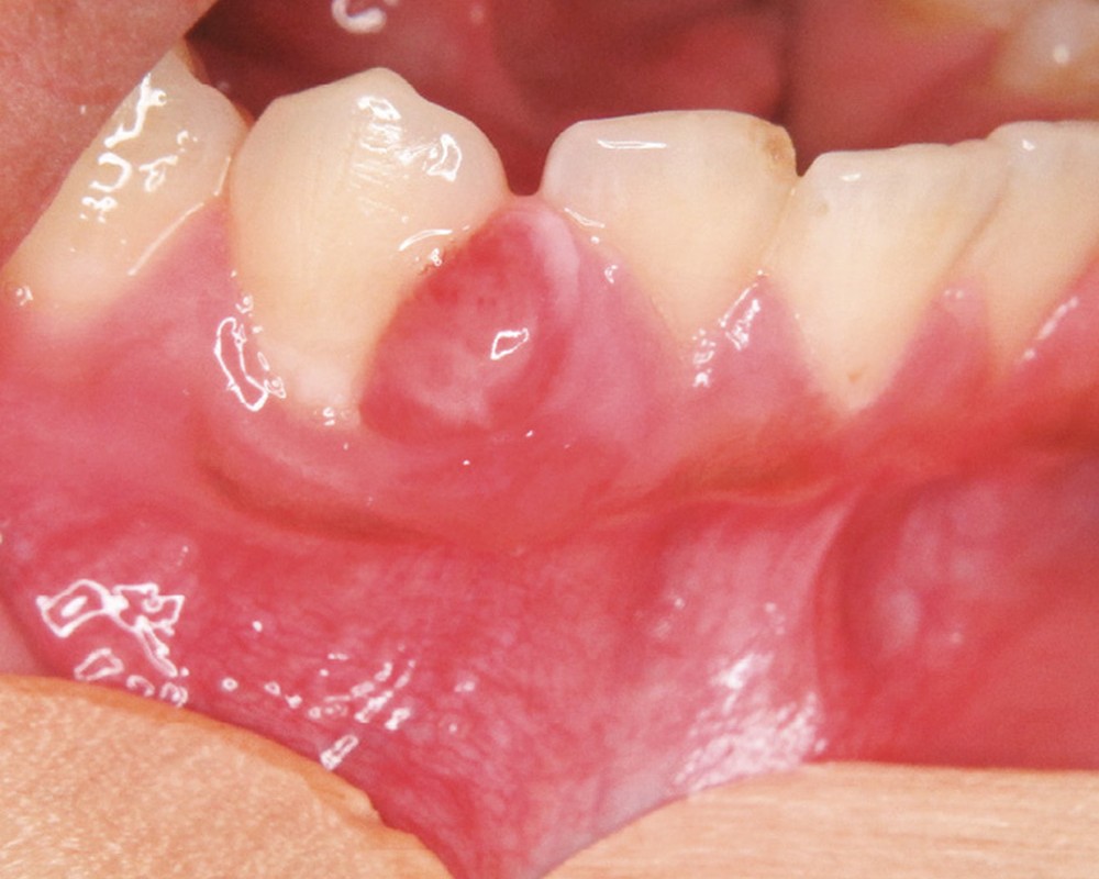
6c. Epulis : granulome non spécifique réactionnel de cause locale.

Information dentaire
La biopsie consiste à prélever un fragment de tissu pour réaliser un examen anatomo-pathologique. Il n’existe pas de contre-indication de la biopsie en dehors des malformations artério-veineuses pour lesquelles il existe un risque chirurgical. Le chirurgien-dentiste est tout à fait à même de réaliser des biopsies dès lors qu’il a la compétence pour annoncer le diagnostic et s’assurer qu’une prise en charge adaptée sera mise en place.

La biopsie est un geste peu pratiqué dans les cabinets dentaires. Pourtant, le chirurgien-dentiste est en première ligne diagnostique des lésions de la muqueuse orale. Il peut être à l’origine d’un dépistage opportuniste d’une lésion bénigne ou maligne. L’examen anatomo-pathologique est obligatoire pour diagnostiquer une lésion cancéreuse et souvent utile pour les lésions bénignes. L’objectif de cet article est de démystifier la biopsie et de donner les bases permettant de réaliser ce geste en toute simplicité.

Définition de la biopsie

La biopsie est un examen complémentaire de l’interrogatoire médical et de l’examen clinique. Elle consiste à prélever un fragment tissulaire d’une lésion pour réaliser un examen anatomo-pathologique. L’examen anatomo-pathologique portera sur l’examen macroscopique et microscopique (histologique et cytologique). Le but de la biopsie est d’orienter le diagnostic d’une lésion afin d’adapter le traitement. Elle a une valeur médico-légale.

Par abus de langage, on parle de biopsie-exérèse quand on réalise d’emblée l’exérèse d’une lésion en vue d’un examen anatomo-pathologique.

Le dentiste généraliste peut-il réaliser des biopsies au cabinet dentaire ?

La biopsie est un acte chirurgical abordable à condition que le chirurgien-dentiste soit formé et qu’il ait acquis les connaissances biologiques, cliniques et chirurgicales nécessaires.

Ce geste devrait être pratiqué par l’ensemble des confrères car il est beaucoup plus simple que la majorité des actes d’odontologie. La réalisation d’une biopsie est souvent considérée, à tort, comme un acte de spécialiste par le chirurgien-dentiste qui a souvent peur de ne pas prélever au bon endroit, correctement ou d’aggraver la lésion.

Il existe une légende urbaine qui consiste à dire qu’une biopsie mal faite risque de disséminer un cancer. Peu de données dans la littérature confirment le risque de…

Cet article est réservé aux abonnés.
Pour lire la suite :

Vous êtes abonné.e ? Connectez-vous
Mot de passe
oublié ?

Vous pouvez également :

Acheter l'article En version numérique
Acheter le numéro À l'unité

Thèmes abordés