Coordination : Dr Guy Princ
1. Quelle est votre hypothèse diagnostique ?
a. Adénome pléomorphe
b. Lipome
c. Carcinome adénoïde kystique
d. Sialométaplasie nécrosante
e. Mucocèle
2. Quel(s) examen(s) complémentaire(s) indiquez-vous en première intention ?
a. Biopsie
b. Cytoponction à l’aiguille fine
c. Tomodensitométrie (TDM) cervico-faciale
d. IRM
e. Aucun des examens
3. Quelle est la conduite à tenir en première intention ?
a. Injection d’anti-inflammatoire intra-lésionnel
b. Exérèse et examen anatomopathologique
c. Corticothérapie locale en bain de bouche
d. Antibiothérapie pendant 8 jours
e. Aucune des propositions
RÉPONSES 1 : a ; 2 : b, c et d ; 3 : b
Commentaires
L’hypothèse principale est l’adénome pléomorphe par ses caractéristiques cliniques et fonctionnelles. Les adénomes pléomorphes représentent plus de 50 % des tumeurs parotidiennes et 80 % des tumeurs épithéliales bénignes. Elles s’observent à tout âge, avec un maximum de fréquence entre 30 et 60 ans et une fréquence accrue chez la femme jeune [1]. C’est une tumeur à faible risque de transformation maligne (8 %), la plus fréquemment retrouvée dans les glandes salivaires principales (parotides et submandibulaires). Les glandes salivaires accessoires (GSA) sont atteintes dans 10 % des cas, avec une prédominance palatine (54 % des tumeurs des GSA) [1, 2]. Les lipomes sont d’évolution plus lente, de consistance molle et de teinte jaunâtre. Le carcinome adénoïde kystique se présente comme une tumeur à croissance lente comme l’adénome pléomorphe ; parfois ulcérée et douloureuse [3]. L’aspect lisse de la lésion, son délai d’apparition et l’absence de douleur permettent d’écarter la sialométaplasie nécrosante. Le mucocèle palatin est exceptionnel et d’aspect typique (couleur bleutée) [4].
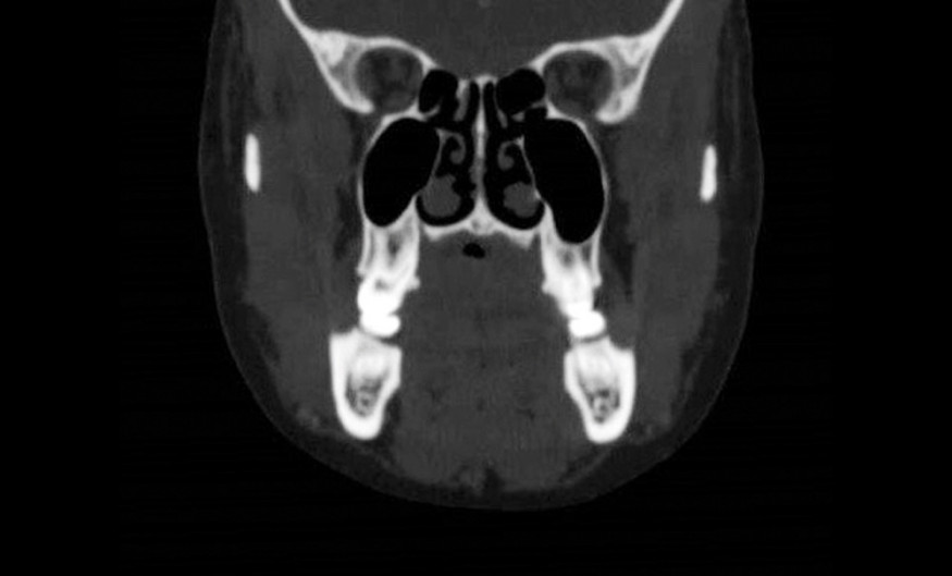
La biopsie dans ce site sans garantie d’une bonne fermeture et sans connaître la nature tissulaire de la lésion est hasardeuse. La cytoponction à aiguille fine permet d’approcher la nature bénigne ou maligne de la lésion et éventuellement le type histologique mais peut présenter des faux négatifs. C’est l’examen antomopathologique qui seul permettra de conclure. La TDM permet d’éliminer une lyse osseuse palatine en regard (fig. 2). Elle peut être complétée par une IRM.
La lésion a été traitée par exérèse sous anesthésie générale. Le résultat anatomopathologique a confirmé le diagnostic d’adénome pléomorphe (sans caractère de malignité). Un suivi régulier permet de pallier les risques de récidives (patiente informée) [3].

Commentaires