Le bridge collé cantilever représente une thérapeutique de choix dans le cadre de la prise en charge de l’édentement unitaire dans le secteur antérieur [1,2]. Cette solution est moins mutilante et permet des réinterventions relativement plus simples en comparaison avec les réinterventions implantaires. De plus, leur mise en œuvre est très accessible et des résultats esthétiques sont obtenus rapidement et simplement [3]. Cependant, dans certaines situations cliniques, il peut être opportun d’optimiser l’intégration esthétique, en améliorant le contour muco-gingival.
L’objectif de cet article est de présenter la prise en charge d’édentements antérieurs comportant des problématiques plus ou moins complexes. Pour chaque situation clinique, la démarche diagnostique et thérapeutique sera détaillée, afin d’obtenir une intégration esthétique optimale.
Premier cas clinique : ovalisation simple de la crête
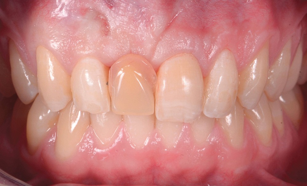
Un patient âgé de 23 ans se présente en consultation pour une réhabilitation implantaire pour la 11. Cette dent a été extraite il y a six ans par un confrère à la suite d’un traumatisme. Une prothèse amovible partielle en résine a été la solution de temporisation choisie (fig. 1a-b). Après quelques années d’usage, le patient rapporte un manque de confort et n’est pas satisfait du rendu esthétique.
Une analyse clinique et radiographique est menée afin de prendre des décisions raisonnées. La solution implantaire évoquée par le patient est remise en question, étant donné son jeune âge et l’irréversibilité d’un tel acte. Un ensemble de critères décisionnels est donc évalué pour orienter la prise de décision.
Analyse clinique et décision thérapeutique prothétique
L’âge du patient est le premier critère à entrer en jeu ; il est défavorable à la solution implantaire. À 23 ans, on ne peut pas affirmer que sa croissance est totalement révolue ; les effets…

