Brûlures orales iatrogènes de nature chimique

  • Par
  • Publié le . Paru dans L'Information Dentaire n°15 - 14 avril 2021
Information dentaire

Les brûlures orales iatrogènes d’origine chimique restent rares en odontologie et sont donc peu décrites dans la littérature. L’hétérogénéité des lésions buccales qui apparaissent suite à ce type de brûlures peut ainsi être déstabilisante pour un praticien quant à la conduite à adopter et à la thérapeutique à mettre en place auprès du patient.

Cet article décrit le cas d’une mère et de sa fille présentant des brûlures buccales et labiales survenues à la suite de soins dentaires. Le produit de désinfection du circuit d’eau du fauteuil dentaire (contenant du peroxyde d’hydrogène à 1,14 % et du nitrate d’argent à 0,1 %) a été mis en cause. L’examen anatomopathologique a permis de poser un diagnostic différentiel avec des maladies auto-immunes se caractérisant par l’apparition de lésions orales similaires de type bulleuses, ulcéreuses, et desquamantes. Une revue de la littérature a été réalisée, afin de rechercher des cas similaires et la conduite à tenir.

Cas cliniques

Une patiente âgée de 49 ans et sa fille âgée de 18 ans se sont présentées dans le service des urgences dentaires du pôle odontologie à l’hôpital de la Timone à Marseille. Leur motif de consultation était lié à l’apparition de douleurs buccales diffuses intenses à la suite de soins réalisés chez un chirurgien-dentiste libéral le matin même. Les patientes ont rapporté lors de l’anamnèse que le praticien avait effectué chez la fille un détartrage ainsi que le débridement d’une carie, et un détartrage chez la mère. Elles ont signalé également que l’eau d’irrigation des moteurs avait un goût de « détergent ». Des sensations de picotements et des douleurs des muqueuses buccales ainsi que des lèvres sont apparues quelques heures après la réalisation des soins.

L’anamnèse médicale de la mère a révélé une intolérance aux anti-inflammatoires non stéroïdiens (AINS) et une allergie à la pénicilline. La fille ne présentait aucun antécédent médical.

L’examen clinique exobuccal n’a révélé aucune adénopathie chez la mère et chez la fille.

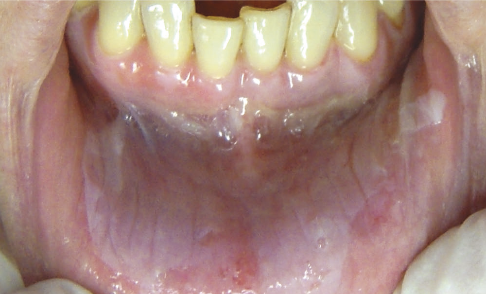
L’examen endobuccal de la mère (fig. 1) a permis de mettre en évidence un plancher buccal jaunâtre avec présence de plages érythémateuses et de lésions érosives de 5 à 8 mm de diamètre. À la palpation…

Cet article est réservé aux abonnés.
Pour lire la suite :

Vous êtes abonné.e ? Connectez-vous
Mot de passe
oublié ?

Vous pouvez également :

Acheter l'article En version numérique
Acheter le numéro À l'unité