CAS 1
Motif de la consultation.
Patiente, âgée de 69 ans, traitée pour une gingivite, mais qui, malgré les soins, présentait une aggravation de son affection.
Histoire de la maladie.
Depuis 18 mois, présence d’une inflammation de la fibro-muqueuse gingivale, principalement vestibulaire, qui évoluait de façon cyclique.
Interrogatoire.
La patiente était en bonne santé et n’avait pas d’antécédents médico-chirurgicaux. C’est l’apparition de douleurs modérées lors de l’alimentation et du brossage des dents qui lui ont fait découvrir ses lésions gingivales.
Examen clinique.
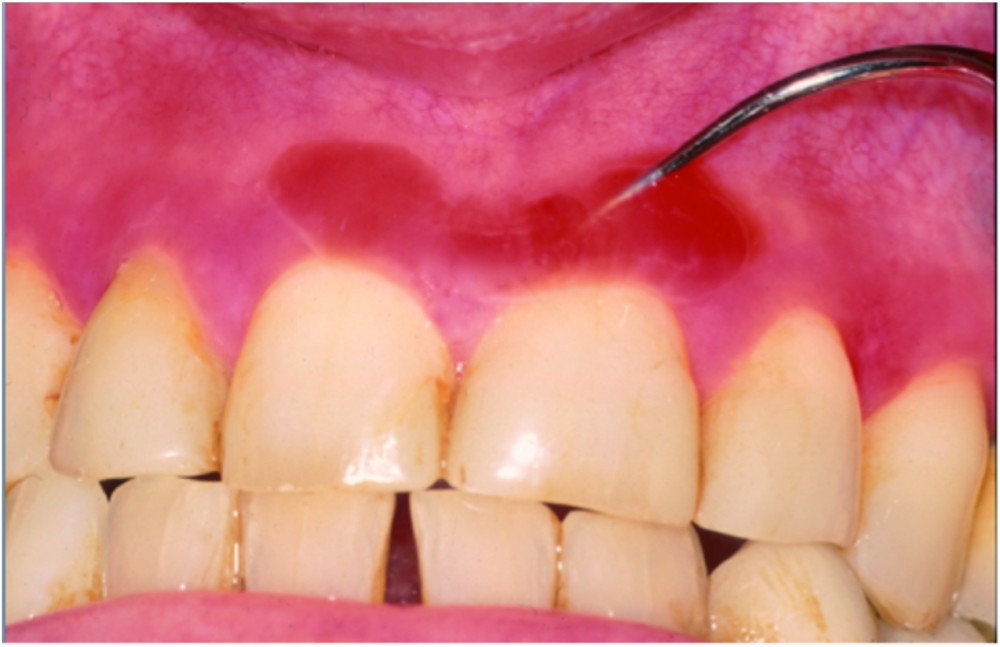
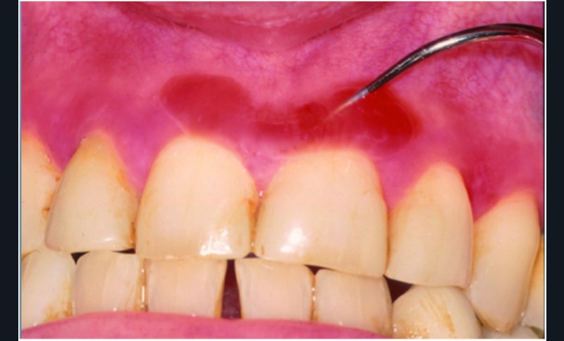
Il existait un érythème diffus mais irrégulier, intéressant la fibro-muqueuse gingivale vestibulaire, surtout supérieure. L’érythème, peu marqué, n’était pas limité au bord libre de la gencive et pouvait toucher la fibro-muqueuse sur toute sa hauteur. Dans la région médiane supérieure, on observait une large bulle avec un contenu hémorragique.
Examen paraclinique.
La biopsie et l’examen en immunofluorescence directe ont confirmé le diagnostic de pemphigoïde cicatricielle des muqueuses.
Synthèse. La pemphigoïde cicatricielle des muqueuses est une maladie bulleuse auto-immune qui touche principalement la fibro-muqueuse gingivale, surtout chez des femmes âgées. Elle est souvent initialement considérée comme une banale gingivite. En phase d’activité, on peut observer un dépôt blanchâtre au collet des dents correspondant à un exsudat fibrineux. Comme ce dépôt se forme rapidement et qu’il ressemble à de la plaque, les patients sont régulièrement accusés d’être responsables de leur gingivite en raison d’une hygiène bucco-dentaire insuffisante. L’examen microscopique montre un décollement sous-épithélial avec un dépôt linéaire d’IgG et de C3 sur la membrane basale. Il existe une dizaine d’antigènes-cibles, mais le plus fréquent est le BPAg2 de 180 kD. Il faut systématiquement…
