CAS 1
Motif de la consultation
Patient de 57 ans ayant consulté sur les conseils de son chirurgien-dentiste pour une ulcération jugale droite.
Histoire de la maladie
Le patient avait remarqué, 6 à 8 mois auparavant, la présence d’une ulcération médio-jugale droite. En l’absence de douleurs, il n’avait pas jugé bon de consulter immédiatement. Son hospitalisation récente pour un AVC avait encore retardé la date de la consultation.
Interrogatoire
Le patient était en bonne santé malgré un antécédent d’AVC 2 mois auparavant, qui n’avait guère laissé de séquelles. Comme professeur d’éducation physique, ayant une hygiène de vie rigoureuse, il n’avait jamais fumé ni consommé d’alcool.
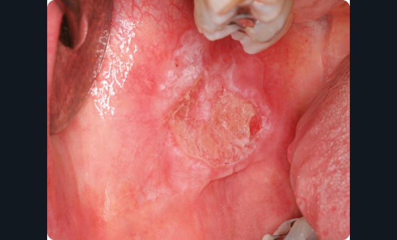
Examen clinique
Sur la face interne de la joue droite, on observait une lésion arrondie, assez bien limitée, de 2 cm de diamètre, indolore. Le centre de la lésion était occupé par une large ulcération superficielle, plane, recouverte d’un enduit fibrino-leucocytaire ; les bords, surélevés et légèrement kératosiques, formaient un bourrelet périphérique presque continu. Ce bourrelet, dans sa partie supérieure, présentait une expansion vers le haut, de 5 mm sur 3 mm de large, et cette expansion était recouverte de kératose. La lésion reposait sur une base indurée peu marquée mais nettement présente. Le reste de la muqueuse buccale avait un aspect normal. Aucune adénopathie cervico-faciale n’était retrouvée à la palpation.
Examens paracliniques
La biopsie a montré qu’il s’agissait d’un carcinome épidermoïde ulcéré en surface, bien différencié, qui envahissait par endroits le plan musculaire superficiel, sous forme de lobules, travées et petits agrégats cellulaires, siège d’atypies nucléocytoplasmiques. La tumeur comportait d’assez nombreuses cellules dyskératosiques et globes cornés. Le stroma fibreux contenait par places un discret infiltrat inflammatoire lymphoplasmocytaire.
