Allaitement et biberons
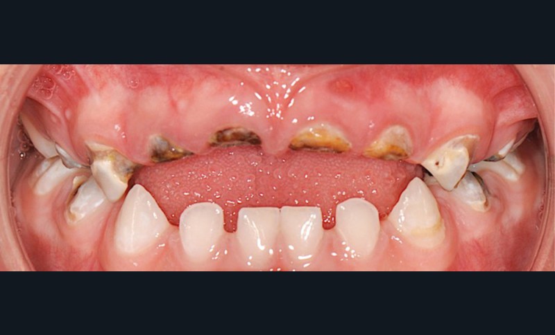
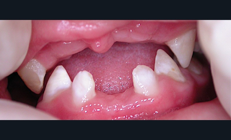
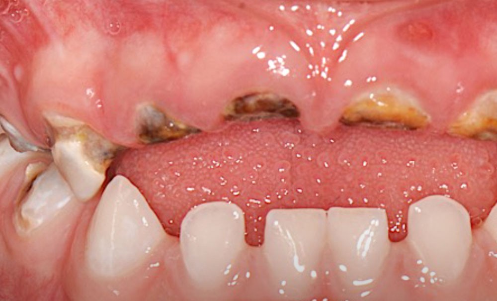
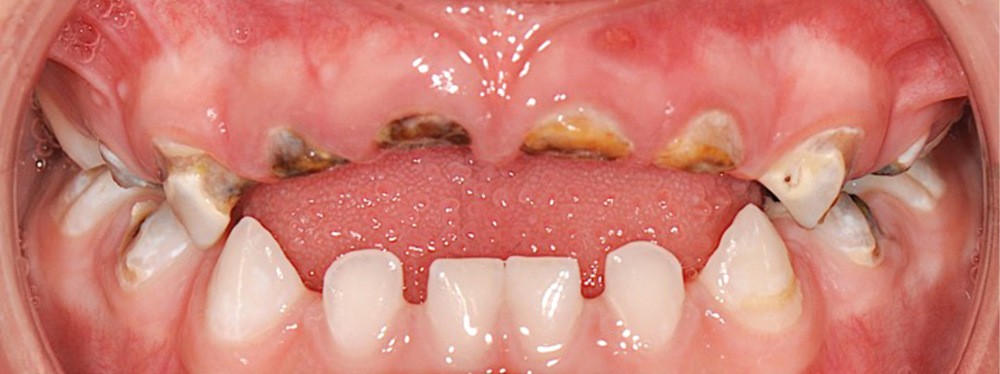
L’OMS recommande un allaitement exclusif jusqu’à l’âge de 6 mois, et associé à d’autres aliments jusqu’à 24 mois [3]. S’il n’est plus nécessaire de démontrer les bienfaits de l’allaitement sur la santé globale de l’enfant, il reste néanmoins utile d’en prévenir certaines pratiques parfois inadaptées pouvant conduire à l’apparition de carie de la petite enfance (CPE) (fig. 1 et 2). L’allaitement au sein exclusif pendant une période de 6 mois présente bien des avantages pour le nourrisson et la mère, et notamment celui de protéger contre les infections gastro-intestinales, aussi bien dans les pays en développement que dans les pays industrialisés. Par ailleurs, une mise au sein précoce, dans l’heure qui suit la naissance, réduit le taux de mortalité.
Les études soulignent également les bienfaits de l’allaitement sur la santé orale : il favorise notamment le développement de la musculature, la croissance maxillo-faciale et limite les malocclusions chez l’enfant [4]. Si la cariogénicité du lait maternel n’a pas été examinée de manière approfondie, des études suggèrent qu’elle est plus importante que celle du lait de vache, mais moins importante que celle des préparations infantiles. Ceci est à considérer notamment lors de consommations fréquentes [5, 6]. Par conséquent, il a été mis en évidence que l’allaitement maternel pourrait être un facteur de protection contre la CPE jusqu’à l’âge de 12 mois. Pour autant, des pratiques d’allaitement à la demande, après l’éruption des dents temporaires, et notamment la nuit, associées à des pratiques de cosleeping (ou co-dodo : l’enfant dort avec la mère), contribueraient à développer la CPE après 12 mois [7, 8]. Si d’autres facteurs sont également à considérer dans le développement de la CPE [9], les études soulignent que l’allaitement prolongé [au-delà de 24 mois]…

