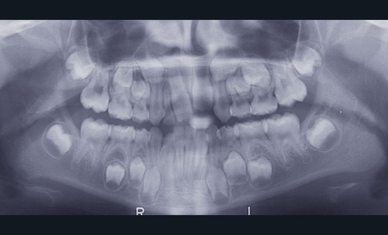
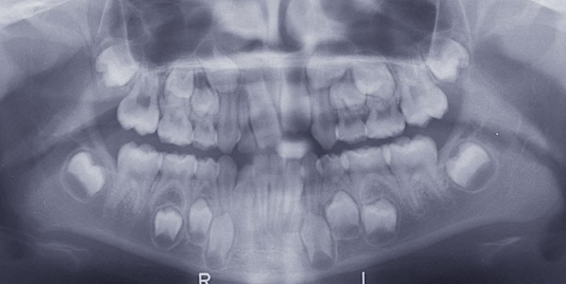
Cette jeune patiente de 6 ans se présente à la consultation avec une panoramique de dépistage révélant l’agénésie des deux incisives latérales permanentes (fig. 1).
Son profil naso-mentonnier fin et très harmonieux traduit un équilibre squelettique tant antéro-postérieur que vertical (Classe I squelettique mésodivergente à tendance hypodivergente).
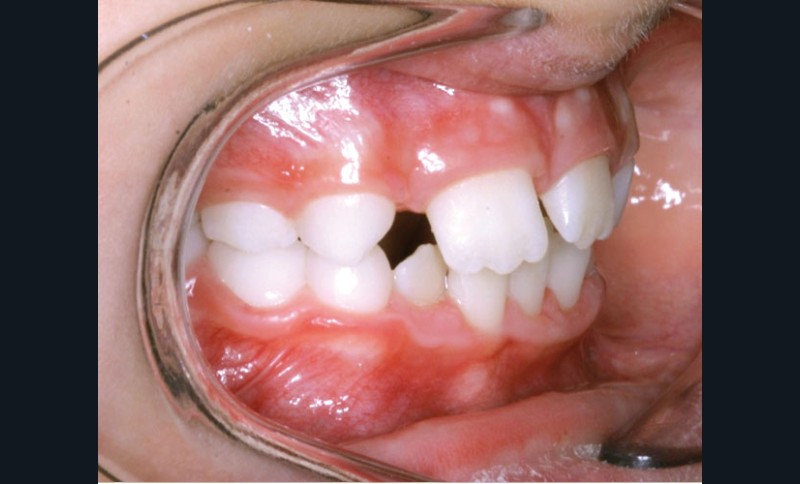
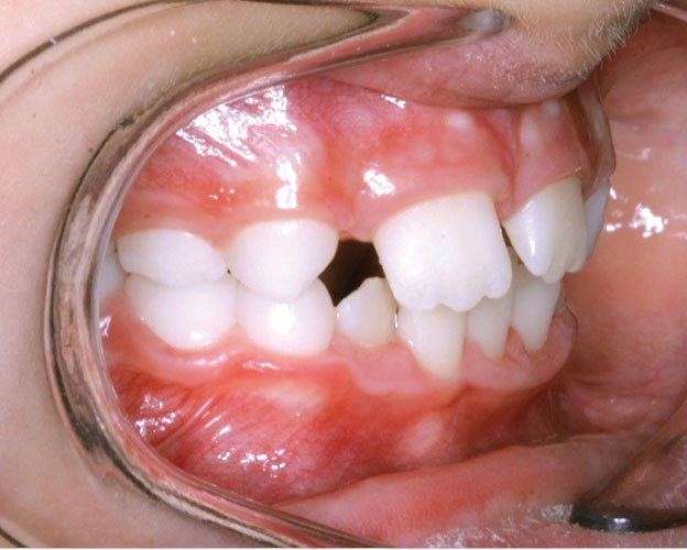
La décision thérapeutique s’est orientée dès cette consultation vers la fermeture des espaces d’agénésie et l’extraction de la 52 a été réalisée à ce stade pour respecter la symétrie antérieure et favoriser l’évolution symétrique des deux canines en position d’incisives latérales.
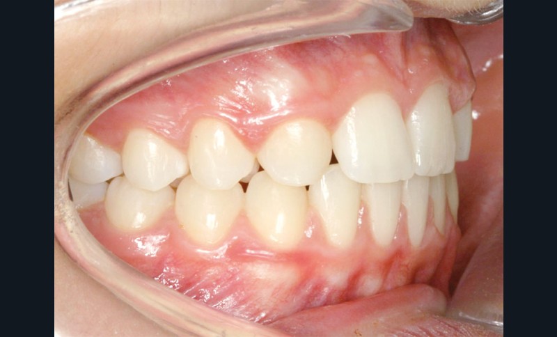
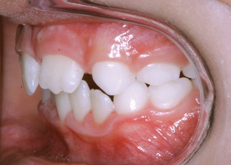
Les vues endo-buccales après extraction de 52 montrent des relations occlusales de classe II, un léger encombrement incisif mandibulaire et une tendance à la fermeture spontanée des espaces des incisives latérales confirmant le choix thérapeutique d’une fermeture d’espace (fig. 2).
La téléradiographie de début de traitement à 11 ans et demi confirme une évolution en classe I squelettique hypodivergente (fig. 3).
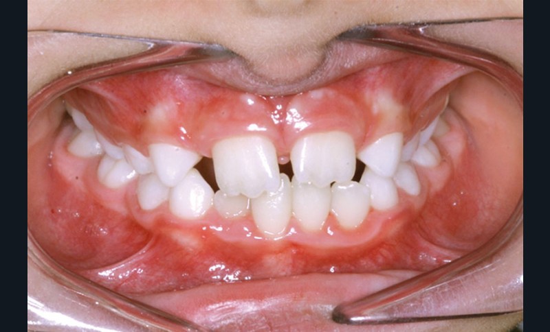
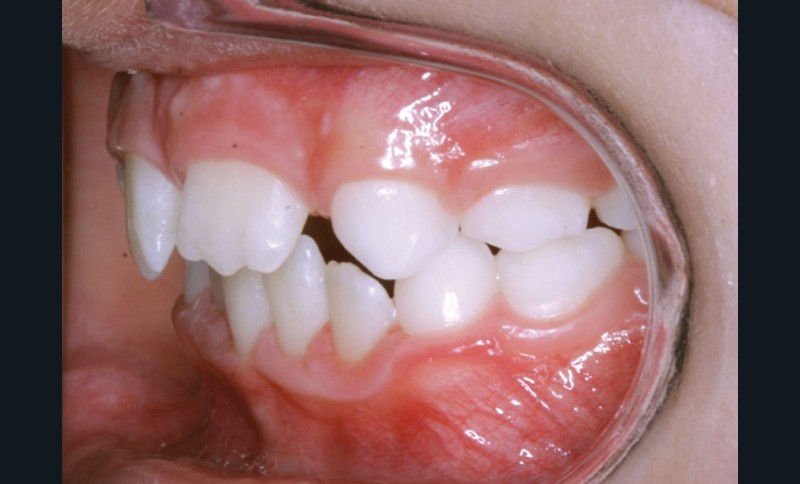
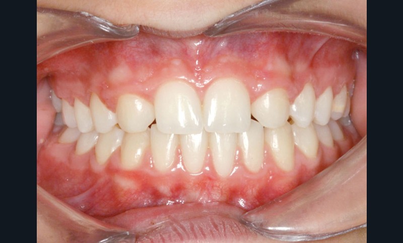
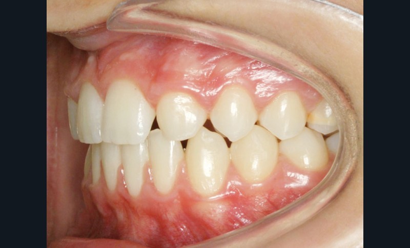
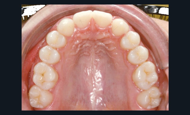
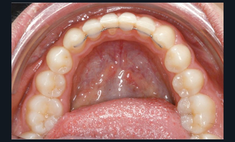
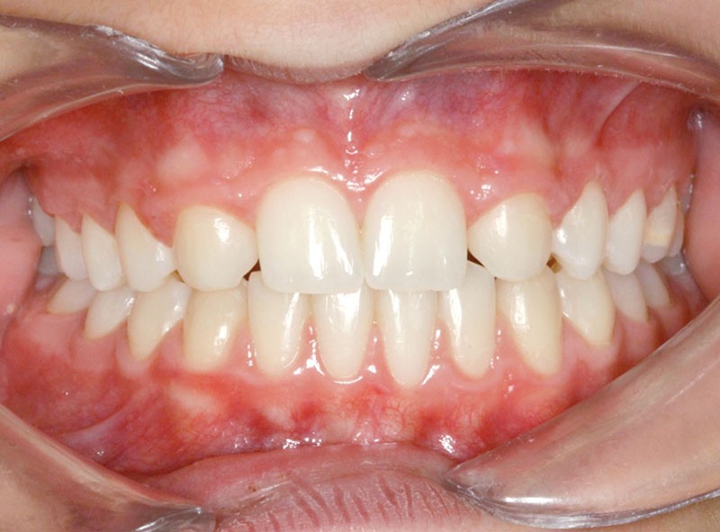
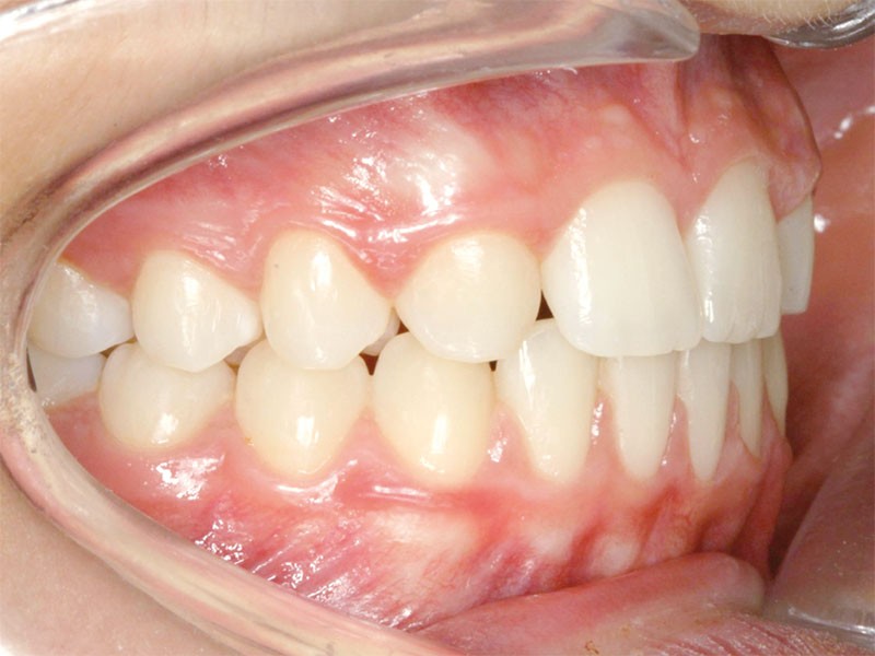
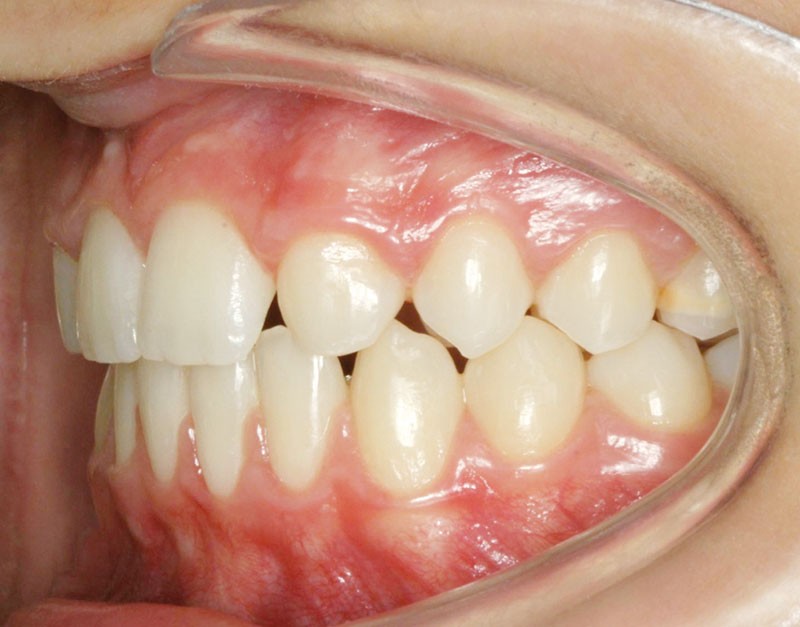
Le traitement orthodontique sans extraction à l’arcade mandibulaire a permis d’établir une occlusion de classe II thérapeutique équilibrée et un sourire harmonieux (fig. 4 et 5).
Une discrète coronoplastie par soustraction a adouci les contours des pointes cuspidiennes canines.
La comparaison des profils (fig. 6) tout au long de la croissance montre que ce choix thérapeutique, malgré une évolution en rotation antérieure, a préservé le profil très esthétique de la patiente.
Le contrôle de l’axe des incisives…
















