Présentation du cas clinique
Une jeune fille âgée de 10 ans se présente à la consultation d’odontologie pédiatrique, accompagnée de sa mère qui s’inquiète de la persistance depuis plusieurs semaines d’une blessure gingivale secteur 1. La petite patiente est en bonne santé générale, ne prend aucun médicament et ne présente pas d’antécédents médicaux ou chirurgicaux. Par ailleurs, l’interrogatoire médical ne permet pas de déterminer l’origine de la blessure : ni l’enfant, ni sa mère ne se souviennent d’un geste traumatisant et aucun soin dentaire n’a été récemment prodigué, excluant l’origine iatrogène.
L’examen clinique révèle la présence d’une ulcération végétante, d’environ 1 cm de diamètre, localisée sur les gencives marginale, papillaire et attachée en vestibulaire de 55 et 16, associée à une récession parodontale pour 55. L’ulcération est bien délimitée, indolore et non hémorragique spontanément. Les dents présentent une mobilité physiologique et il n’existe pas d’adénopathie.
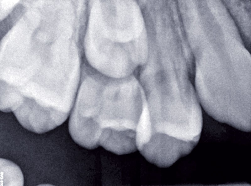
Un cliché rétro-alvéolaire et un orthopantomogramme confirment un processus de rhyzalyse physiologique de 55, comparable à celui de sa contro-latérale.
Hypothèse diagnostique
L’hypothèse la plus probable est celle d’une blessure d’origine traumatique, même si la jeune patiente et son entourage n’ont aucun souvenir des circonstances d’apparition.
L’origine systémique ou tumorale de l’ulcération est écartée dans un premier temps, étant donné l’absence de signes généraux et la fréquence particulièrement rare des carcinomes épidermoïdes chez les enfants.
Conduite à tenir
En première intention, un gel antiseptique à base de chlorhexidine à 0,12 % est prescrit pendant 8 jours, à raison de deux applications quotidiennes.
Lors du contrôle à une semaine, la situation clinique ne s’est pas améliorée et devant l’aspect…



