Incisive centrale résorbée
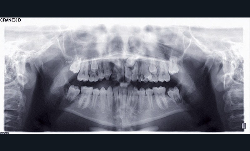
Rappel de la problématique. Mademoiselle O. âgée de 13 ans en classe I squelettique mésodivergente présente la persistance de 63. La panoramique et l’examen tomodensitométrique montrent une transposition de la 23 qui évolue au-dessus de la 21 et a entraîné une résorption radiculaire de celle-ci.
Quelles solutions thérapeutiques peuvent être envisagées ?
Pr William Bacon et son équipe
Remarques préliminaires
D’après les documents fournis, il s’agit d’une transposition de 23, transposition partielle, l’apex étant en bonne position (fig. 1).
On observe un kyste péricoronaire sur 23 (fig. 2a).
La couronne de 23 est haute et discrètement vestibulaire par rapport à la racine de 21, partiellement résorbée.
Il n’y a aucune autre image suspecte de la denture, pas d’anomalie de développement des dents, tout juste des apex plutôt fins. La racine de 22 est intacte, les autres dents visibles sur le document ne montrent pas de résorption apicale. La 63 est intacte avec une longue racine non résorbée.
La résorption radiculaire de 21 est en relation avec la couche cellulaire épithéliale périphérique du kyste. La présence de ce kyste laisse supposer une progression lente. Le pronostic serait probablement davantage défavorable s’il n’y avait pas de formation kystique autour de la 23.
Préalable à toutes décisions
Informations aux parents, il s’agit d’un traitement à risque, les risques sont acceptés.
Anamnèse médicale approfondie à la recherche de dérangement systémique et examen biologique pour écarter tout déséquilibre. Si déséquilibre systémique ou endocrinien, rééquilibrer.
Réponse à la question
Trois spécialistes de la chirurgie orale ont été consultés. Tous trois excluent la possibilité d’une approche raisonnée de la…



