Nouvelle rubrique
Présentation du cas clinique
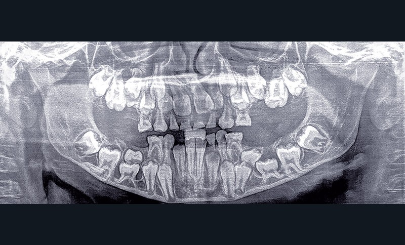
Marine consulte, avec une radiographie panoramique (fig. 1), au service d’Odontologie du CHU de Bordeaux. Elle est adressée par son chirurgien-dentiste pour un important retard d’évolution dentaire.
Radiographie panoramique
La radiographie panoramique confirme la présence de tous les germes et le retard d’évolution dentaire, mais révèle la présence des deuxièmes molaires mandibulaires temporaires incluses en position basale sous les germes des deuxièmes prémolaires permanentes. Elles présentent, comme les premières molaires mandibulaires, elles aussi incluses en position très basale, des racines très courbées au voisinage de la corticale.
Les premières molaires maxillaires sont également incluses, comme les deuxièmes molaires temporaires qui se superposent aux germes des deuxièmes prémolaires permanentes, en position apicale par rapport à ces dernières. L’interrogatoire confirme que les deuxièmes molaires temporaires maxillaires et mandibulaires n’ont jamais fait leur éruption.
Examen clinique
À l’examen exo-buccal, Marine présente un profil plat avec une lèvre supérieure fine en rétrochéilie. De face, on note une asymétrie avec une déviation nette du menton vers la droite.
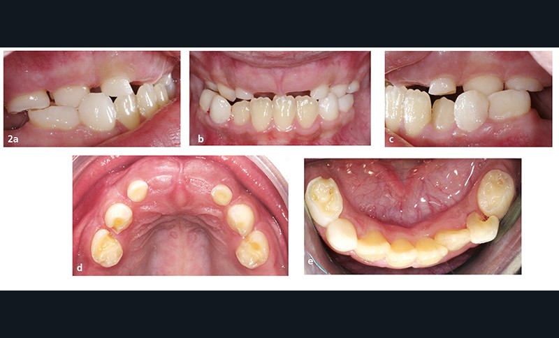
L’examen endo-buccal (fig. 2a à e) montre, au maxillaire, la présence des incisives latérales, canines et premières molaires temporaires (les incisives centrales étant tombées depuis la réalisation de la radiographie panoramique) et l’absence de toutes les dents permanentes et des deuxièmes molaires temporaires. À la mandibule, les quatre incisives permanentes ont évolué et il persiste les canines et les premières molaires temporaires. Aucune autre dent n’est visible dans la cavité buccale.
Les relations occlusales sagittales sont subnormales, mais on constate une insuffisance transversale de l’arcade maxillaire…

