exemple clinique
1 Valentin, 65 ans
Motifs de consultation
Algie ancienne de l’ATM gauche, sensation d’ouverture limitée et déviée à droite.
![]()
Examen clinique
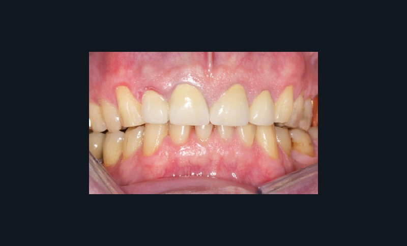
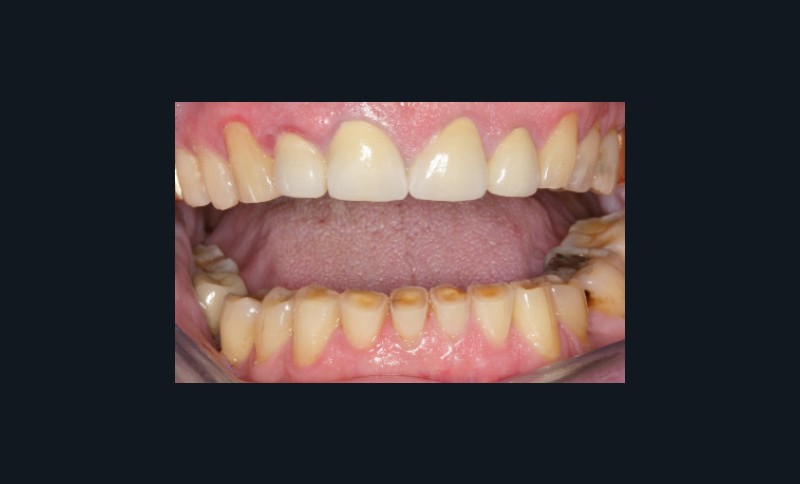
La cinématique mandibulaire est légèrement limitée (41 mm), défléchie à droite.
Muscles : muscles élévateurs non hypertrophiques, mais hyperdenses.
Douleur : algie ATM gauche provoquée à l’étirement.
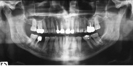
ATM : atteinte dégénérative de l’ATM gauche éventuellement en évolution.
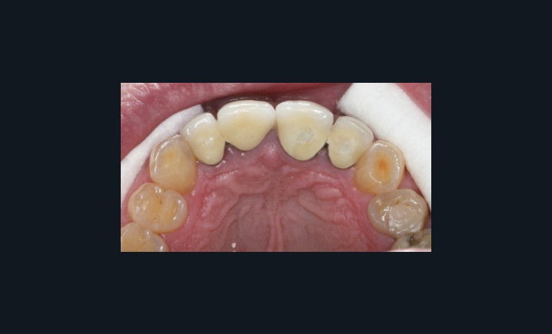
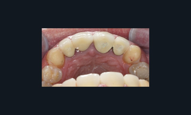
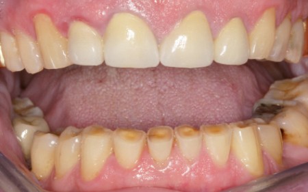
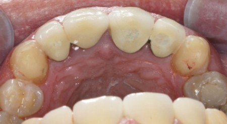
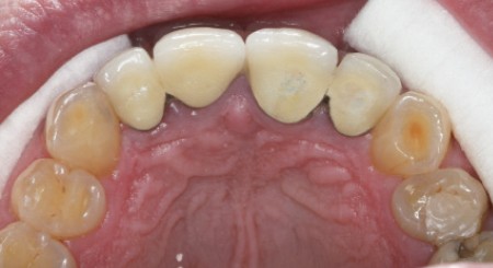
Dents : soins dentaires à réaliser sur 16, 26, 37.
Amputation mésiale de 46 ?, légères érosions.
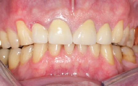
Bruxisme : net avec attrition antérieure marquée en particulier en regard des coiffes céramiques.
Occlusion : décentrage gauche, création d’une légère béance antérieure probable conséquence
de l’atteinte de l’ATM gauche.
Diagnostic
Arthrite dégénérative de l’ATM gauche s’inscrivant
probablement dans un trouble systémique.
Soins restaurateurs partiels à réaliser.
Bruxisme modéré à important sur structures dentaires résistantes mais sur ATM fragiles.
Pas de facteurs de stress appréciable, absence d’attention vis-à-vis des dents, probablement composante praxique forte.
Stratégie thérapeutique
Indication de prise en charge du bruxisme du fait de l’ATM fragile, contact avec médecin traitant à propos de l’arthrite dégénérative, pas de gouttière initiale.
Prise en charge cognitivo-comportementale (PECC) avec forte motivation initiale le patient n’étant pas du tout conscient du bruxisme et probablement peu compliant.
Renforcement de la PECC par des collages en composite sur 13 et 23, Réévaluation sur 12 mois…







