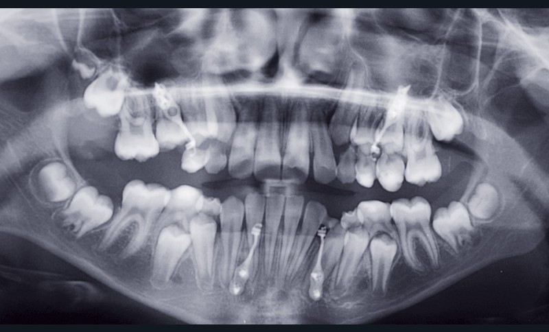
Cependant, la pose des plaques a été difficile du fait de la finesse du contrefort zygomatique et du peu de hauteur alvéolaire, en particulier au niveau du secteur I du fait de la rétention de la 16 (fig. 1).
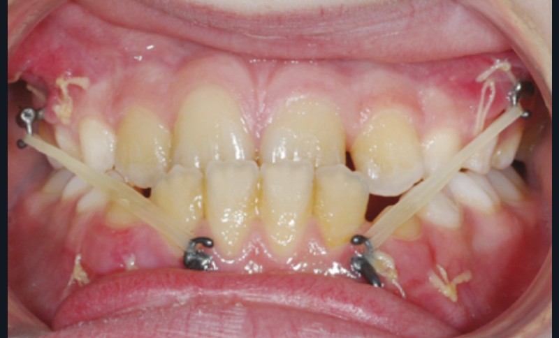
Dès l’évolution des canines mandibulaires, les plaques ont été fixées, et 3 semaines après, malgré une grande sensibilité au niveau du secteur I, la mécanique élastique de classe III a été commencée (fig. 2).
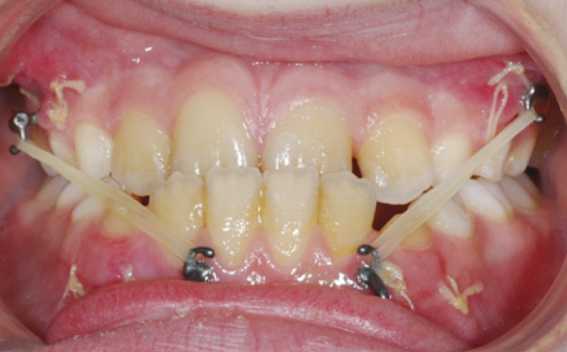
Après 6 mois d’orthopédie, la plaque au niveau du secteur I, qui a toujours été défaillante, devient mobile et finit par se débricoler. De ce fait, les élastiques du côté gauche ont davantage fonctionné ; il en résulte une déviation du milieu incisif mandibulaire à gauche (fig. 3).
Une nouvelle plaque a été fixée mais aussitôt reperdue. De ce fait, nous avons décidé de continuer avec une phase de finition multibague (fig. 4).
Si l’on analyse le résultat du point de vue squelettique, on constate une belle amélioration orthopédique du prémaxillaire, stable dans le temps. La croissance maxillaire a heureusement été toujours supérieure à la forte croissance mandibulaire. On note après orthopédie un bon support osseux pour la lèvre supérieure qui présente une meilleure épaisseur. À la fin de la croissance, les courbures naso-labiale et labio-mentonnière sont optimisées (fig. 5).
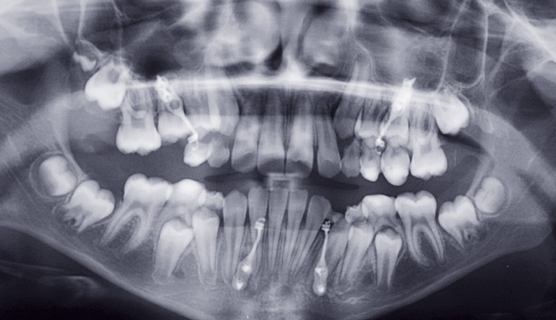
Les téléradiographies de profil confirment la croissance du maxillaire avec une légère tendance rotationnelle antérieure et une avancée du point A de 8 mm. La croissance mandibulaire est homothétique sauf dans la région du point B où elle est freinée (fig. 6-7).
De face, la…






