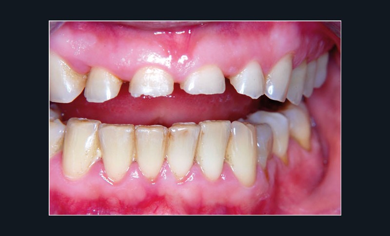
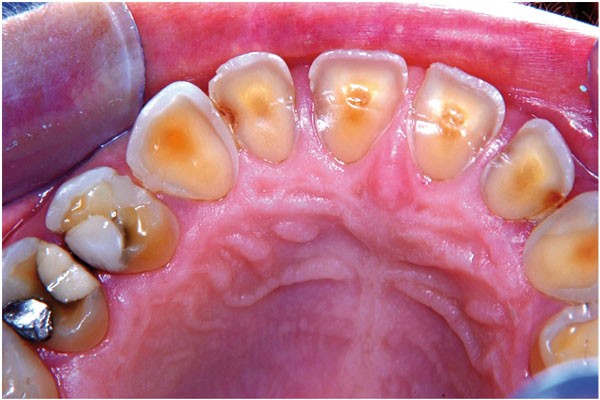
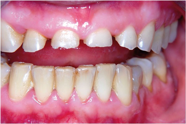
Madame R, 38 ans, se présente en consultation pour un sourire qu’elle trouve disgracieux, des sensibilités dentaires et une difficulté à s’alimenter en raison de bourrages alimentaires.
Ses gencives saignent facilement.
Elle est en bonne santé générale mais nous relate un passé d’anorexique avec de fréquents vomissements.
Elle est une adepte du brossage de ses dents au jus de citron et au bicarbonate pour les blanchir mais ce mélange n’est plus efficace et souhaiterait que le cabinet fasse quelque chose pour elle.
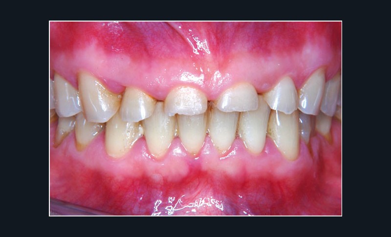
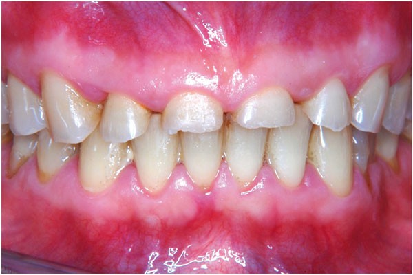
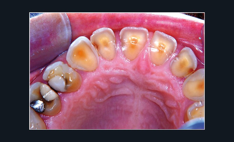
L’examen clinique est conduit par le praticien qui prend quelques photos : de face (fig. 1), en vue occlusale maxillaire (fig. 2) et en occlusion (fig. 3).
La patiente souhaite obtenir un plan de traitement et le devis correspondant, même pour les soins pris en charge par la sécurité sociale.
Le praticien dicte alors le temps par temps opératoire pour le maxillaire, charge à l’assistante de s’assurer que la codification proposée par le logiciel est correcte quitte à la vérifier manuellement.
![]()
![]()


