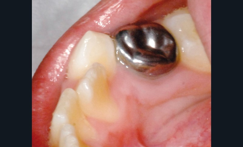
Lors d’une perte de substance étendue et/ou après une pulpotomie sur dent temporaire, il est classiquement réalisé une coiffe pédodontique préformée métallique pour assurer une restauration pérenne. Cette technique fiable et simple n’en demeure pas moins délabrante (fig. 1) et inesthétique (fig. 2).
Plusieurs alternatives thérapeutiques, avec leurs avantages et inconvénients, ont été proposées : des coques préformées en polycarbonate ou résine acrylique, des moules préformés transparents en cellulose, à combler de résine composite (Pella® – ODUS), des couronnes métalliques recouvertes de résine, des coiffes avec facette vestibulaire, des coiffes en composite ou, depuis récemment, des coiffes préformées en zircone.
Les orientations actuelles en dentisterie restauratrice tendent résolument à la préservation tissulaire exposée dans la description du gradient thérapeutique. Cette dernière est permise avec des restaurations a minima, grâce au collage et des pièces prothétiques type inlay ou onlay, plutôt que des reconstitutions périphériques. En outre, l’importance croissante accordée de nos jours à l’apparence exige davantage la réalisation de restaurations esthétiques. Pourquoi ne pas appliquer ces concepts contemporains à la dent temporaire, sous prétexte que sa durée de vie sur arcade est limitée ?
Avec l’essor de la CFAO (Conception et Fabrication Assistées par Ordinateur) et le développement de blocs en composite usinable, il semble intéressant d’en faire usage chez nos jeunes patients. Le but de cet article est de montrer dans quelle mesure la CFAO directe peut s’intégrer au quotidien en odontologie pédiatrique.
Pour cela, dans un premier temps, nous présenterons : le matériel, les indications et le protocole, à l’aide de deux cas cliniques. Dans un second temps, nous récapitulerons les avantages…

