Albrektsson et coll. ont décrit en 1986 les critères définissants l’échec implantaire : mobilité, perte osseuse verticale excédant 1,5 mm la première année suivant la mise en charge ou excédant 0,2 mm par an, signes et symptômes persistants et/ou réversibles tels que douleur, infection ou paresthésie. Ainsi, le taux de succès semble supérieur ou égal à 85 % à cinq ans et supérieur ou égal à 80 % à dix ans [1].
La préservation de l’ostéointégration dépend de la santé des tissus péri-implantaires mais aussi du contrôle des forces occlusales (fig. 1) [2].
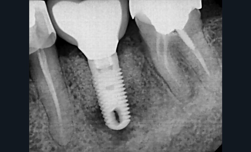
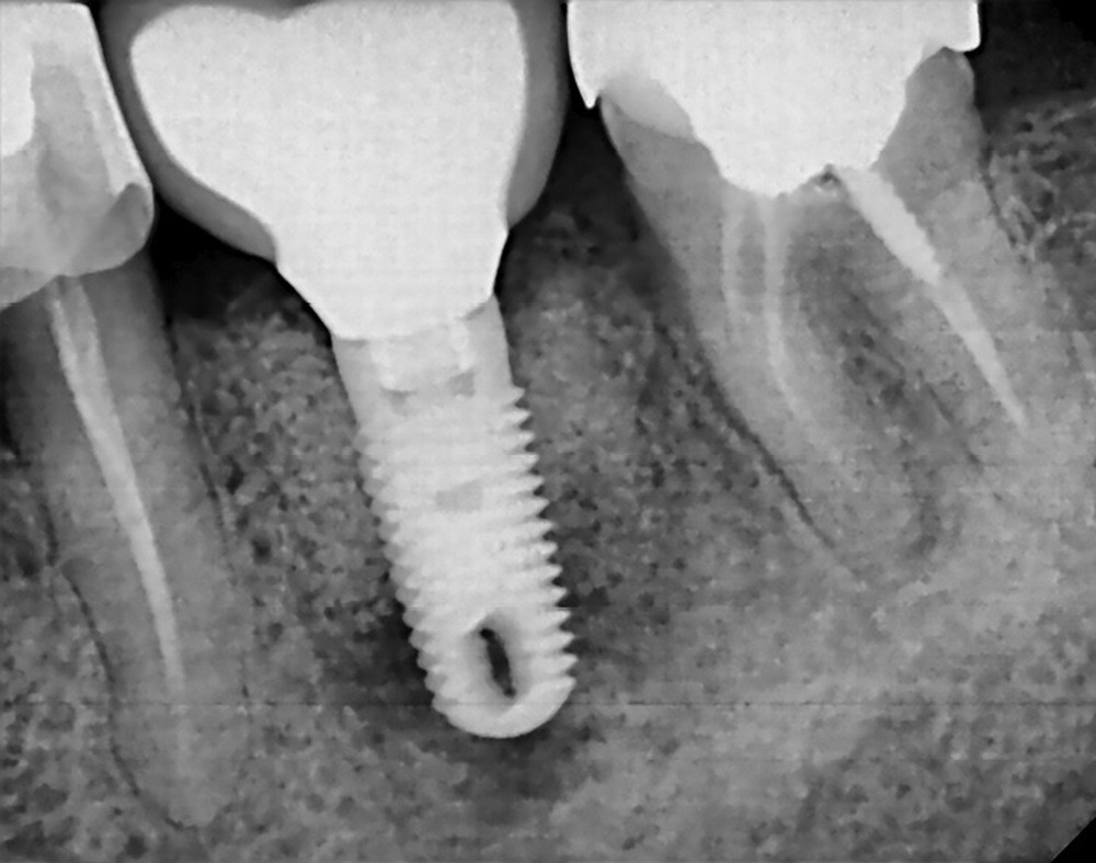
D’après la récente classification de Chicago (2017) des maladies parodontales et péri-implantaires, la péri-implantite est définie comme une pathologie induite par un biofilm dysbiotique, et caractérisée par une inflammation de la muqueuse péri-implantaire et par une perte progressive du support osseux. C’est donc un processus inflammatoire le plus souvent lent et irréversible qui atteint les tissus mous et durs péri-implantaires [3]. L’étude menée par Mombelli et coll. en 2012 montre que 20 % des patients chez qui il a été posé des implants et 10 % des implants posés déclareront une péri-implantite dans les cinq à dix ans après la pose (fig. 2) [4].
La prothèse peut être à l’origine de l’échec implantaire à divers moments de la chaîne d’élaboration : lors de sa conception (type de connectique, profil d’émergence, hauteur et nature du pilier), de son assemblage (prothèse vissée ou scellée) ou au moment du réglage de l’occlusion (lié à l’absence de ligament).
Risques liés à la conception de la prothèse
Type de connectique et pilier
Implant à connexion interne/externe
Au niveau d’un implant atteint de péri-implantite, la densité la plus importante de bactéries se trouve au niveau de la jonction pilier-implant [5]. La colonisation bactérienne de cette connectique se fait lors des manipulations…

