Filière numérique, protocole
Phase initiale d’acquisition et de traitement des données natives (segmentation)
Elle est enclenchée une fois terminée la préparation orthodontique.
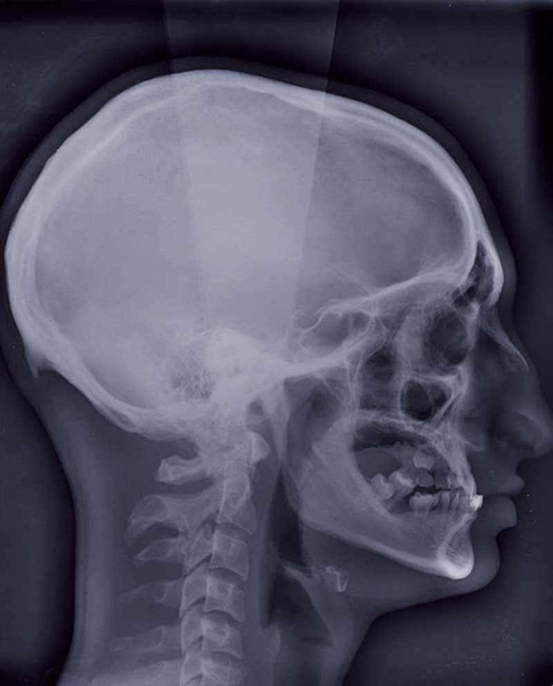
La mandibule est maintenue stable pendant l’examen. Sa position varie selon la typologie du patient. En cas de normo ou d’hyper-divergence, la mandibule est stabilisée en relation centrée (fig. 1).
En cas d’hypo-divergence, qu’il s’agisse d’une classe II ou d’une classe III, la mandibule est stabilisée après avoir déterminé « l’espace libre d’innoclusion » (free way space) à l’aide d’une cale radio-opaque ou radio transparente (fig. 2 à 5).
Les données natives en format DICOM sont ensuite traitées (phase de segmentation) :
– suppression des artefacts ;
– élaboration des images 3D en isolant des différents constituants anatomiques : crâne et maxillaire, mandibule, dents, dispositifs d’orthodontie, implants endo-osseux et prothèses conjointes éventuelles, etc.
L’enregistrement des classiques modèles en plâtre (en occlusion corrigée de Classe 1) à l’aide d’un scanner conventionnel (format DICOM) ou par empreinte optique (format STL) est ensuite intégré au squelette dento-squelettique ; étape désignée « matching des modèles ».
Phase diagnostique
Rendue possible par la visualisation 2D et 3D interactive des données du patient, elle constitue la première « phase clinique » du processus numérique (flux numérique). Le chirurgien peut aisément visualiser les rapports des bases squelettiques et l’occlusion pathologique, tandis que la sélection interactive de coupes natives (axiales) ou reconstituées (coronales, frontales, sagittales) favorise la compréhension de la…




