Aspects chirurgical, prothétique, digital
L’objectif de cet article est de présenter, au travers d’un cas clinique, une approche moderne raisonnée afin de planifier les séquences opératoires et de prévoir les contours futurs des restaurations.
Présentation du cas (fig. 1 à 3)
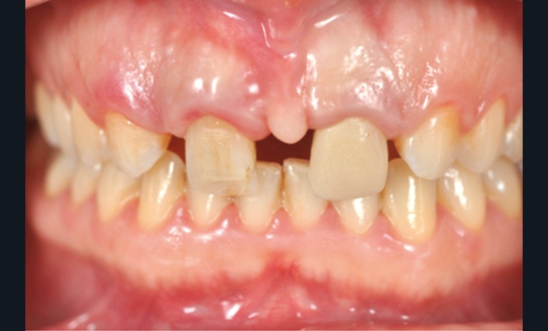
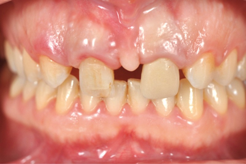
Une patiente de 32 ans se présente à la consultation pour une réhabilitation de son sourire qu’elle trouve disgracieux. L’examen clinique révèle en effet l’absence des deux incisives latérales maxillaires à la suite d’un accident survenu à l’adolescence, ainsi que la présence des deux incisives centrales (11 et 21) à mi-chemin entre la position idéale et les incisives latérales à la suite d’un traitement orthodontique ayant pris l’option de cette position intermédiaire.
De plus 11 et 21 ont subi des traitements endodontiques et la 21 est coiffée. Des reconstitutions corono-radiculaires de nature différente sont notées sur 11 et 21. L’examen radiologique fait aussi ressortir une perte osseuse d’environ 30 %, qui explique les mobilités cliniques dont se plaint la patiente. Enfin, la 11 présente de manière récurrente des épisodes infectieux avec une inflammation chronique de la gencive.
Plan de traitement
À la lecture des antécédents et en fonction du pronostic à court et moyen terme de 11 et 21 sur les plans mécanique, biologique et esthétique, il est décidé d’extraire 11 et 21 et de réhabiliter le secteur antérieur à l’aide d’implants en place et lieu de 12 et 22, et de réaliser un bridge implanto-porté de 12 à 22, ainsi que deux couronnes sur 13 et 23 afin d’harmoniser le futur sourire tant sur le plan de la forme que colorimétrique.
De plus, l’utilisation de 13 et 23 sera précieuse pour assurer la rétention des restaurations provisoires qui ne seront pas implanto-portées pour des raisons de stabilité primaire des…


