Une approche contemporaine
Néanmoins, un point moins fréquemment abordé cristallise les inquiétudes des patients et de nombreux praticiens : la gestion du site donneur et les éventuelles suites opératoires associées au prélèvement du greffon. Cet article se propose de présenter les différentes techniques de prélèvement en chirurgie muco-gingivale, et de guider le praticien dans le choix du type de prélèvement.
Les critères de décision
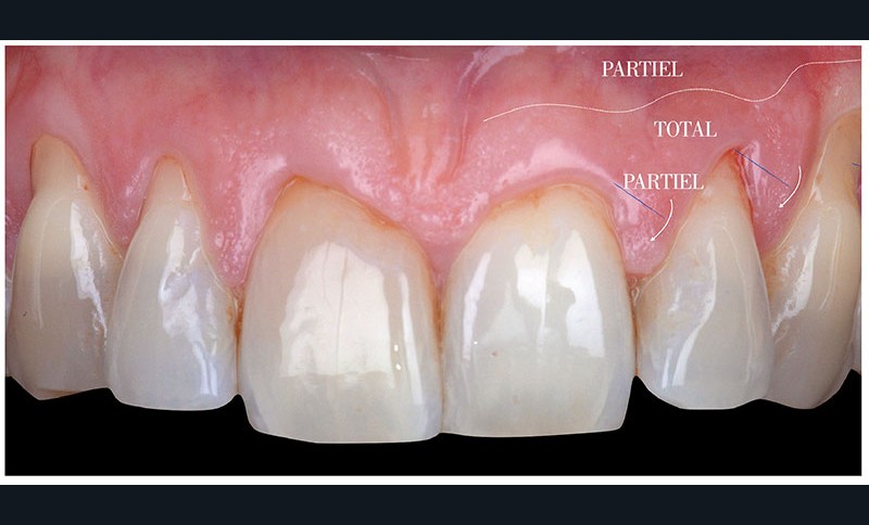
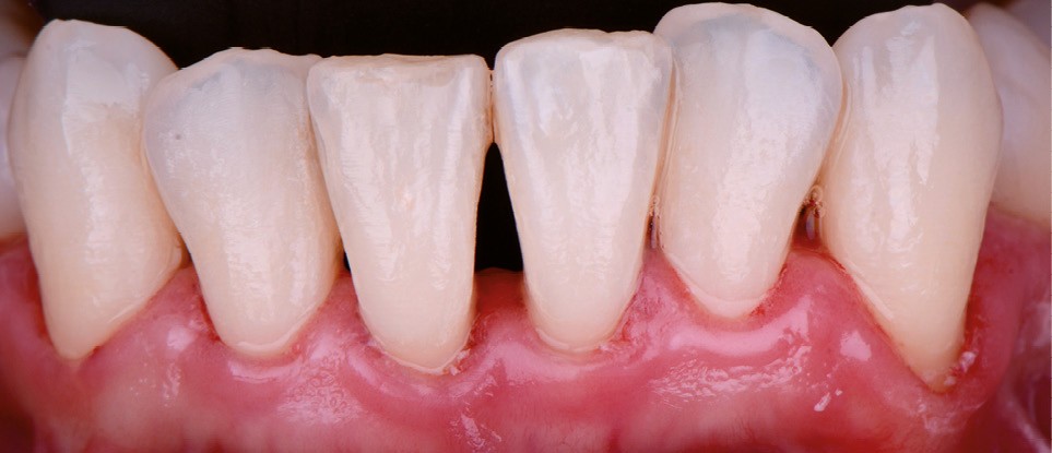
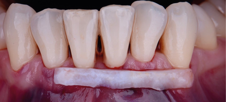
Les choix du site de prélèvement et de la technique utilisée ont un impact direct sur la qualité du greffon [6, 7], d’une part, et sur les suites opératoires, d’autre part
(saignements, douleurs, consommation de médicaments ou modification de l’alimentation [8]).
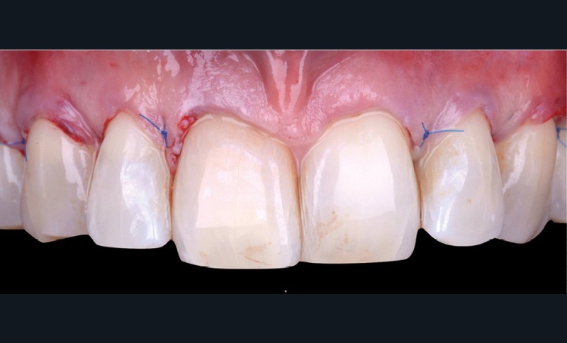
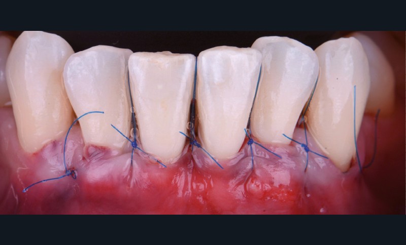
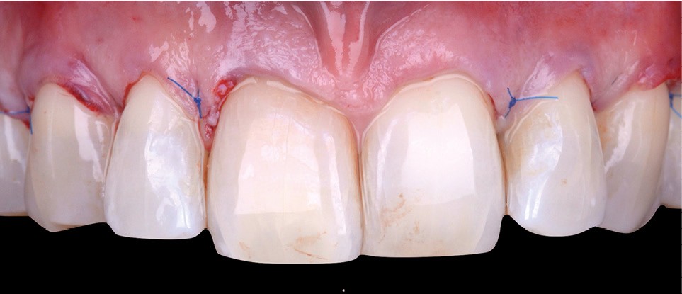
Suite opératoire





