Chronologie du plan de traitement : paro, ortho, implanto

  • Par
  • Publié le . Paru dans L'Orthodontiste n°4 - 30 septembre 2018 (page 44-54)
Information dentaire
Résumé
L’orthodontie et l’implantologie sont aujourd’hui deux disciplines étroitement liées. L’intégration de l’orthodontie dans le plan de traitement global implantaire peut être un complément précieux pour améliorer les résultats esthétiques et fonctionnels. Par les remaniements tissulaires qu’elle génère et les mouvements dentaires possibles, l’orthodontie devient une alternative non chirurgicale permettant le développement et l’aménagement du site implantaire. À l’inverse, de par son ostéointégration, l’implantologie repousse également les limites de l’orthodontie, en offrant un ancrage fixe absolu dans certains mouvements parfois difficiles voire impossibles à mettre en œuvre à l’aide de dispositifs classiques. Néanmoins, quel que soit l’ordre du traitement, le succès des résultats cliniques ne sera assuré que par le maintien d’un parodonte sain tout au long de la prise en charge du patient.

Implication clinique
La maîtrise technique ainsi que la fiabilité de ces deux domaines de l’odontologie que sont l’implantologie et l’orthodontie font que l’un des deux peut être exploité au service de l’autre dans l’objectif d’optimiser les résultats tant fonctionnels qu’esthétiques de nos patients.

Depuis les travaux de Brånemark, l’implantologie moderne basée sur les données scientifiques offre une option thérapeutique fiable à long terme. Néanmoins, la mise en place de l’implant n’est pas toujours très simple à réaliser. En cas d’extraction unitaire ou multiple, on observe avec le temps non seulement le déplacement des dents vers le site édenté et par conséquent, une diminution de l’espace prothétique adéquat, mais aussi un remodelage osseux qui se traduit par une perte tridimensionnelle de la crête alvéolaire. Autres que les techniques chirurgicales avancées, nous disposons aujourd’hui d’un certain nombre d’alternatives, dont fait partie l’orthodontie pré-implantaire.
L’objectif de cet article est donc de présenter les différentes options de chronologie des plans de traitement pluridisciplinaires intégrant la parodontologie, l’orthodontie et l’implantologie en fonction de l’objectif final prétendu.

PHASE I – PARODONTOLOGIE

L’intégration de l’orthodontie dans un plan de traitement de réhabilitation implantaire peut être primordiale pour l’obtention d’un rendu esthétique et fonctionnel optimal. Néanmoins, avant tout type de traitement, deux éléments vont être indispensables pour le bon déroulement des différentes étapes : l’absence d’infection et le maintien d’un parodonte sain.

Traitement des maladies parodontales

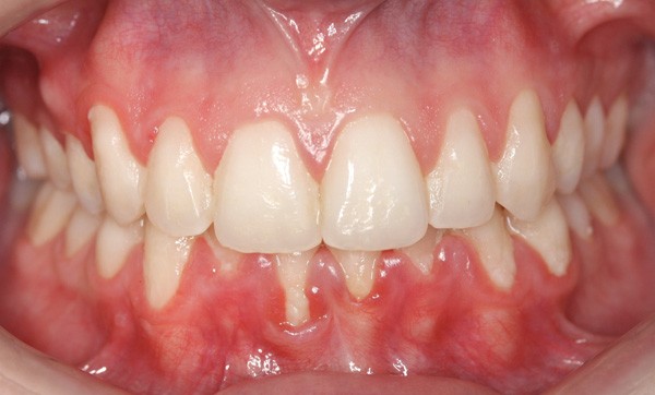
En effet, les données de la littérature nous montrent que lorsque le déplacement dentaire se fait en présence d’une inflammation, celui-ci peut entraîner des destructions tissulaires avec des pertes d’attaches et des pertes osseuses (fig.1a et b) [1, 2]. L’examen parodontal clinique et radiologique devra donc précéder systématiquement le traitement orthodontique de manière à pouvoir dépister la présence d’une éventuelle gingivite ou parodontite. La prise en charge parodontale permettra la diminution de l’inflammation et de la charge bactérienne par un enseignement…

Cet article est réservé aux abonnés.
Pour lire la suite :

Vous êtes abonné.e ? Connectez-vous
Mot de passe
oublié ?

Vous pouvez également :

Acheter l'article En version numérique
Acheter le numéro À l'unité

Thèmes abordés