Éclaircissement dentaire avec du peroxyde de carbamide à 10 % : effets prophylactiques sur la dent cariée ou érodée

  • Par
  • Publié le . Paru dans Réalités Cliniques n°2 - 15 juin 2021 (page 134-139)

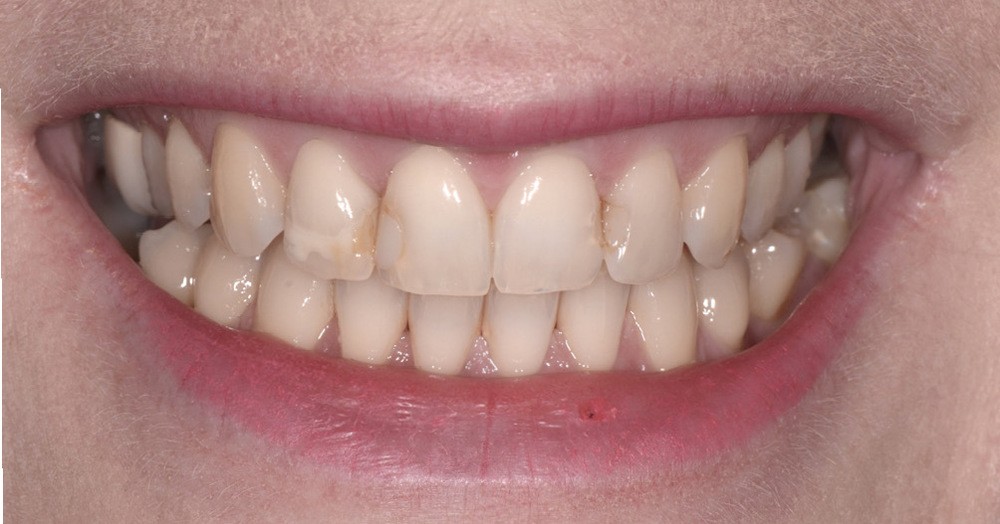
1a. Patiente présentant des composites antérieurs inadaptés car plus étanches et présentant des colorations disgracieuses en périphérie et des caries superficielles récurrentes (22). Il n’est pas nécessaire de traiter les caries, ni d’étanchéifier les restaurations préalablement à l’éclaircissement.

Information dentaire

Julie Poline, Kevin Gnanguenon, Camille Poulain-Ferarios, Kods Mahdhaoui, Astrid Duclos-Gabet, Ulysse Poline, Sophie Fonteneau Szerbojm
Attachés à la consultation de traitement des dyschromies, AP-HP Charles Foix, Ivry s/Seine

L’éclaircissement dentaire est une thérapeutique médicale, respectueuse des tissus dentaires, qui s’inscrit dans la plupart des plans de traitement globaux. Dans ce cadre, les patients présentent généralement des pertes de substance dentaires liées à la carie dentaire ou à l’usure. Le praticien peut légitimement s’interroger sur les risques liés à un éclaircissement qui serait mené sur des dents cariées ou érodées, préalablement aux traitements restaurateurs. La connaissance du produit d’éclaircissement et l’analyse de la littérature internationale permettent de rassurer le praticien. En plus de l’absence de risque, nous mettrons en évidence des effets prophylactiques sur les tissus dentaires cariés ou érodés.

L’éclaircissement dentaire prend progressivement sa place dans l’arsenal thérapeutique des praticiens. En effet, en plus de l’indication physiologique liée au vieillissement [1] entraînant une forte demande des patients pour plus de blancheur [2], il existe de nombreuses indications en rapport avec des pathologies (hypominéralisations [3], tétracyclines [4], dent dépulpée [5]…) et avec le contexte restaurateur [6]. À l’ère d’une dentisterie de plus en plus biologique, elle représente, au sein du gradient thérapeutique [7], la technique la moins invasive dont nous disposons.

La connaissance des mécanismes de l’éclaircissement s’est considérablement accrue ces dernières années [8-10]. La luminosité des dents augmente (composante physique par opacification de l’émail) et leur coloration diminue (composante chimique par oxydation des chromophores) [11]. Nous commençons à avoir des méthodes d’évaluation précises et des éléments pronostiques [12] qui positionnent l’éclaircissement comme une vraie thérapeutique médicale.

L’éclaircissement ambulatoire externe [13] prescrit par un dentiste est une thérapeutique sûre [14] et de mieux en mieux documentée sur le plan scientifique [15,16]. La technique de référence est l’éclaircissement ambulatoire externe avec un port de gouttières en EVA (éthylène acétate de vinyle) en utilisant du peroxyde de carbamide à 10 % (PC10) [17] sur une période généralement comprise entre trois et huit semaines.

Toutefois, certains praticiens restent circonspects vis-à-vis de l’éclaircissement. Une des causes de cette prudence concerne les sensibilités dentaires pendant le traitement. Cet aspect est maintenant bien contrôlé grâce au temps de port personnalisé des gouttières [18].

Deux autres situations cliniques peuvent inquiéter le praticien : les effets de l’éclaircissement sur les dents cariées et sur les dents érodées. Nous montrerons dans cet article que l’éclaircissement…

Cet article est réservé aux abonnés.
Pour lire la suite :

Vous êtes abonné.e ? Connectez-vous
Mot de passe
oublié ?

Vous pouvez également :

Acheter l'article En version numérique
Acheter le numéro À l'unité

Thèmes abordés

Sur le même sujet

Odontologie restauratrice

Article réservé à nos abonnés Défis en traumatologie dentaire : gestion des fractures corono-radiculaires

Responsable scientifique : Emmanuelle Esclassan Noirrit Intervenant : Georgios Tsilingaridis Les fractures corono-radiculaires impliquent à la fois la couronne et la racine...
Odontologie restauratrice

Article réservé à nos abonnés Parlons ensemble d’adhésion

Responsable scientifique : Alain Vanheusden Intervenant : Frédéric Raux Photo et schéma : © Frédéric Raux Le grand principe commun de l’adhésion...
Odontologie restauratrice

Article réservé à nos abonnés Les restaurations partielles en céramique

Responsable scientifique : Michel Bartala Intervenant : Olivier Etienne Les différentes générations de colles La classe des colles avec potentiel adhésif rassemble...