Madame P., âgée de 43 ans, consulte pour la première fois en octobre 2012 et nous dit : « J’ai l’impression que mes dents ont bougé. J’ai déjà fait un traitement, mais uniquement sur le haut. Les dents du côté n’ont pas été descendues. J’ai des problèmes pour fermer la mâchoire. Mes dents bougent encore plus qu’avant. Qu’est-il possible de faire ? À quel coût, et que corrige-t-on ? »
Examen clinique
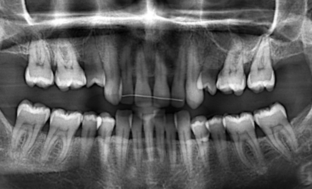
L’examen clinique révèle une maladie parodontale chronique, et la patiente est orientée immédiatement chez notre correspondant parodontiste.
Madame P. effectue l’ensemble du traitement parodontal et ne revient que trois ans plus tard (ce délai entre la première consultation et la décision de traitement est très commun chez le patient adulte, et ne constitue nullement un mauvais pronostic pour le futur traitement orthodontique). Nous pouvons maintenant travailler à partir de l’examen clinique et sur les documents radiologiques et photographiques de 2016.
Examen du visage et du sourire
Sur les figures 1a et b, les trois étages de la face sont équilibrés. Le sourire met en évidence une légère bascule du plan d’occlusion.
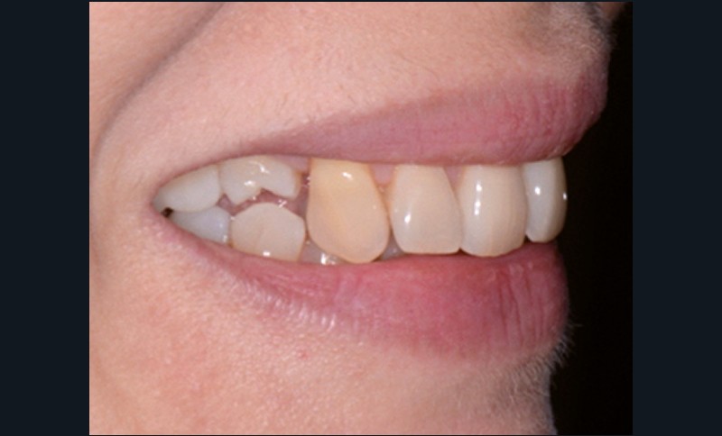
Les muscles orbiculaires se contractent lorsque les lèvres sont jointives. Le sourire est spontané, large et les lèvres sont charnues. La courbe du sourire est satisfaisante de 12 à 22 puis les dents rentrent, disparaissent de face et apparaissent plus hautes sur le sourire de trois-quarts. Les incisives maxillaires sont bien placées par rapport à la lèvre inférieure (fig. 3).
La photographie de profil (fig. 2a, b) révèle une légère rétrusion mandibulaire compensée par de belles lèvres et une éminence mentonnière bien dessinée.
Fig. 1 – Photographies exobuccales de face au repos (a) et lors du sourire (b), février 2016. Visage équilibré aux trois étages de même hauteur. Le sourire est…






