Classe III en fin de croissance

  • Publié le . Paru dans L'Orthodontiste n°1 - 15 février 2015
Information dentaire
Réponse au Cas complexe
Dans notre numéro de décembre 2014 (pages 38 et 39) nous vous avions présenté un cas dit « complexe ».
Différentes solutions nous ont été proposées par nos lecteurs et nous publions celles qui ont retenu l’attention du comité scientifique avec la réponse argumentée de l’orthodontiste qui a traité ce cas.

Rappel de la problématique
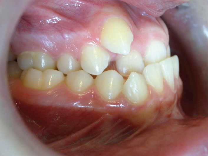
Guillaume, 14 ans, se présente pour la première fois en consultation d’orthodontie, adressé par son dentiste. Il se plaint de la position de ses canines.


Traitement réalisé

Compte tenu du décalage squelettique modéré, (ANB faible (- 3°) néanmoins AoBo (-10,5 mm) est élevé), du menton bien placé sur le plan esthétique, du fait que la rétrocheilie est directement en corrélation avec l’inversé d’articulé, de l’âge du patient (trop important à mon sens pour un masque facial et trop jeune pour proposer directement une chirurgie), il a été choisi de le traiter par disjonction non chirurgicale et multi-attache sans extractions.
Le patient a été adressé pour un bilan ORL (manque de perméabilité nasale), mais l’ORL n’a pas jugé nécessaire d’intervenir.
La coopération a été bonne. Il est à noter que le patient est satisfait du résultat.
Néanmoins, l’interrogation porte sur la stabilité du cas à long terme car l’engrènement n’est pas parfait côté gauche (la stabilité est maintenue trois ans après traitement actif).

Nos lecteurs ont proposé 

Solution : un traitement par compensation alvéolaire avec extraction des deuxièmes prémolaires maxillaires et des premières mandibulaires.
Réponse : cette option n’avait pas été retenue car je ne souhaitais pas aggraver le déficit maxillaire en extrayant. Néanmoins, cela aurait diminué la vestibuloversion des incisives maxillaires.
Solution : un traitement chirurgico-orthodontique avec extraction de deux prémolaires maxillaires et fermeture des espaces puis phase d’attente de la fin de la croissance pour une chirurgie d’avancée maxillaire vers 18 ans.
Réponse : attendre la fin de la croissance pour commencer le traitement ortho-chirurgical permettrait d’éviter les effets inesthétiques de la décompensation de classe III mais laisserait en attendant Guillaume avec les canines ectopiques, ce qui constituait sa principale doléance.

Cet article est réservé aux abonnés.
Pour lire la suite :

Vous êtes abonné.e ? Connectez-vous
Mot de passe
oublié ?

Vous pouvez également :

Acheter l'article En version numérique
Acheter le numéro À l'unité

Thèmes abordés