1. La photographie
Avant toute chose, l’analyse de la cartographie colorimétrique de la dent est indispensable. La photographie numérique apparaît comme un outil idéal pour cette analyse esthétique qui précède la réalisation d’un composite dans le secteur antérieur. Elle autorise des agrandissements importants qui mettent en évidence les nombreux détails qui caractérisent la dent.
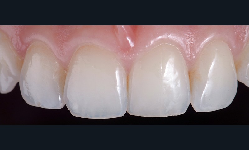
L’utilisation d’un contrastor (fond noir) permet de mieux apprécier la hauteur et la translucidité du bord incisal (fig. 1).
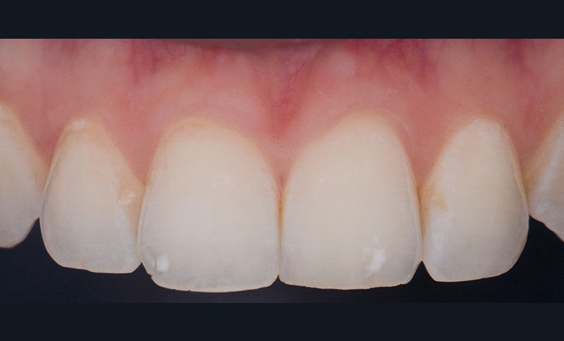
L’utilisation de filtres polarisants (Polar_eyes®) permet d’éliminer la lumière spéculaire (reflets de la source lumineuse) et les halos indésirables induits par le flash sur les dents (fig. 2). L’analyse chromatique devient alors parfaitement objective. La photographie ainsi obtenue révèle une cartographie en profondeur de la dent, laissant apparaître des structures plus profondes comme les mamelons dentinaires.
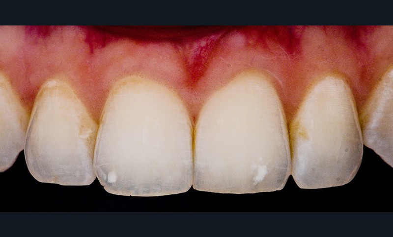
Enfin, le recours à des logiciels simples de traitement de l’image permet d’apporter des modifications intéressantes au cliché. Le passage en noir et blanc met en évidence les différences de luminosité. L’augmentation du contraste ou la diminution de l’exposition révèle les aires de couleur différente (fig. 3).
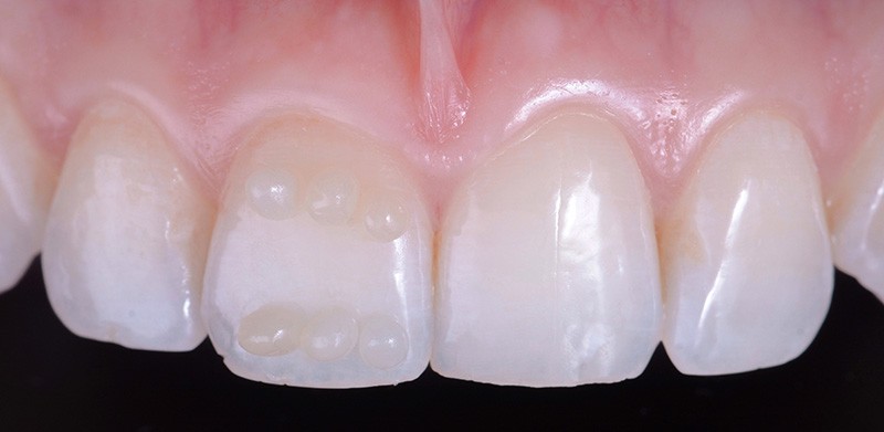
2. La technique des « boutons »
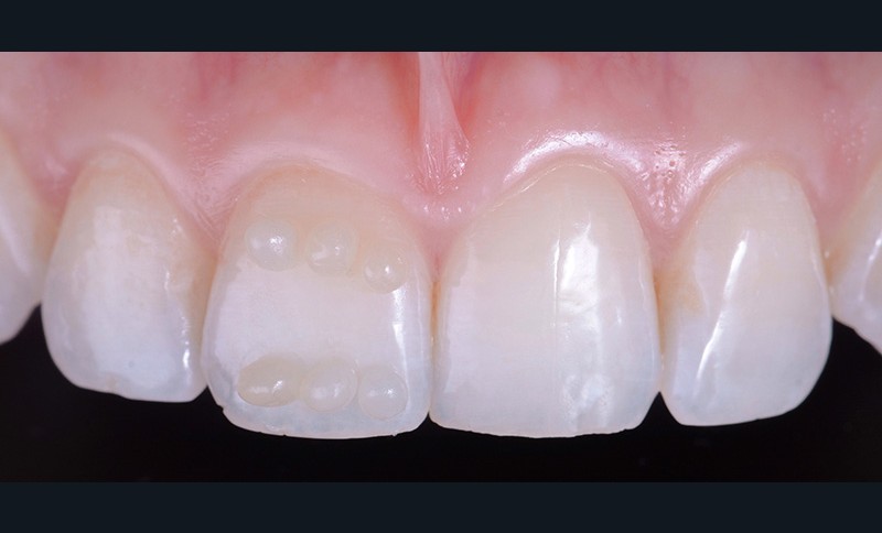
Après avoir repéré les différentes zones de la dent vient le choix du composite de restauration. La technique des boutons est efficace pour sélectionner la bonne couleur. Sans préparation ni adhésif, différents plots de composite sont disposés sur la dent. Il est conseillé de polymériser les résines car la couleur du composite change après photopolymérisation (fig. 4 et 5).
La plupart des composites antérieurs font écho aux propriétés optiques de la dent. Il conviendra donc de placer les boutons de composites correspondant…




