Présentation du cas
Une jeune femme de 19 ans vient consulter en raison du caractère disgracieux de son sourire.
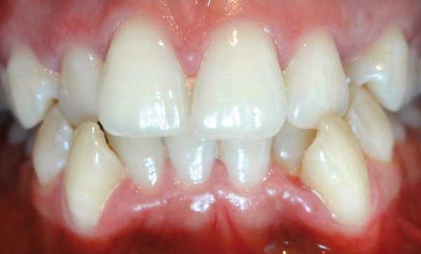
À l’examen exobuccal, le visage est harmonieux ; la patiente présente un profil rectiligne (fig. 1) et une discrète inclusion labiale (fig. 2). Le sourire est disgracieux compte tenu de l’encombrement sévère (fig. 3).
À l’examen endobuccal, on note l’absence de 13 et 23 que la patiente attribue à des avulsions faites en raison de l’ectopie des canines maxillaires. Les espaces de 13 et 23 sont quasiment refermés. La dysharmonie dento-maxillaire (DDM) négative est sévère (fig. 4a et b). La forme d’arcade maxillaire est ovoïde, la forme d’arcade mandibulaire carrée. Les sillons des molaires sont colorés mais non infiltrés.
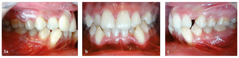
À l’examen inter-arcades, la patiente présente un décalage des milieux d’origine mixte et est en classe I molaire (fig. 5a à c). Une récession gingivale est à noter sur 33 et 43. Le biotype parodontal est fin avec sans doute une rupture d’attache parodontale liée à la position vestibulaire de 43 et 33. Le contrôle de plaque dentaire pourrait être amélioré sur 16 et 26.
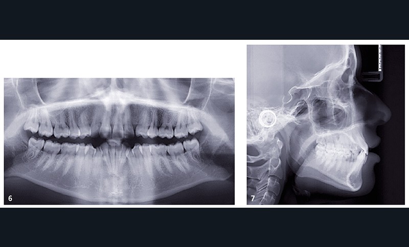
À l’examen de l’orthopantomogramme (fig. 6), le « signe du bouquet » confirme le diagnostic de DDM.
À la téléradiographie de profil (fig. 7), la patiente s’avère normodivergente (FMA à 27°). Une dissymétrie mandibulaire, acceptable, est à noter. Elle présente une normomaxillie (SNA = 81°) et une rétromandibulie (SNB = 77°). L’inclinaison incisive est normale au maxillaire comme à la mandibule (I/F = 110° IMPA = 91°).
Choix du plan de traitement
Compte tenu de la DDM liée à la disproportion du nombre de dents sur un profil harmonieux, il a été décidé, en concertation avec le chirurgien-dentiste, d’extraire deux dents mandibulaires…


