Comment corriger les classes II sans collaboration en technique multi-attaches chez l’adolescent ?

  • Par
  • Publié le . Paru dans L'Orthodontiste n°5 - 15 décembre 2021 (page 22-29)
Information dentaire

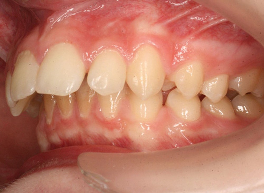
Y a-t-il plus grave échec que de terminer un traitement à l’adolescence en classe II molaire et canine ?

La sanction est systématique à moyen terme avec récidive de la supraclusion et de l’encombrement maxillaire. Le retraitement est complexe et nécessite souvent chez le patient une fois à l’âge adulte :

  • le port d’un appareillage pendant environ deux ans ;
  • soit des extractions, soit des ancrages soit une chirurgie d’avancée mandibulaire.

En revanche, bien qu’une récidive d’encombrement chez un patient en classe I puisse aussi nécessiter une reprise de traitement, elle pourra être gérée aisément dans la plupart des cas avec du stripping et quelques mois d’aligneurs.

S’il est impossible de garantir l’alignement dentaire pour la vie, il est de notre devoir impératif de corriger les classes II avant que le patient ne devienne adulte.

Étant donné la très forte proportion de classe II dans notre population de patients enfants (75 % des patients en cabinet [1]), nous pouvons dire que notre métier se résume surtout à les corriger : plus important que d’être des « orthodontistes » nous devons être des « correcteurs de classe II ». Mais force est de constater en feuilletant les catalogues, que notre intelligence s’est surtout focalisée sur le développement des appareils multi-attaches donc des appareils qui alignent les dents. Dans ces mêmes catalogues, la correction de la classe molaire se résume souvent en une seule page avec des petits ronds et des animaux à côté !

Pour autant, les élastiques fonctionnent (pour la simple raison que les dents ne résistent pas aux forces qu’ils délivrent) mais est-il prudent de remettre entre les mains d’un enfant de 13 ans le devenir de sa denture ?

Dans la plupart des cas, on commence par « essayer les élastiques » et « si ça ne marche pas », on utilise un correcteur de classe II. Mais pourquoi essayer un plan A si le plan B est meilleur…

Cet article est réservé aux abonnés.
Pour lire la suite :

Vous êtes abonné.e ? Connectez-vous
Mot de passe
oublié ?

Vous pouvez également :

Acheter l'article En version numérique
Acheter le numéro À l'unité

Thèmes abordés