Pour objectiver les contacts occlusaux, le praticien peut avoir recours à l’inspection visuelle directe en vue vestibulaire ou sur moulages en plâtre, aux sensations du patient et plus traditionnellement au papier à articuler.
Le papier à articuler
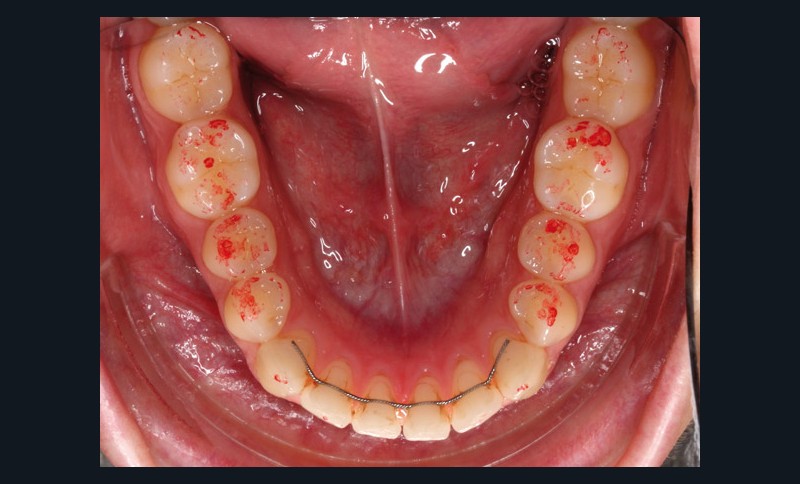
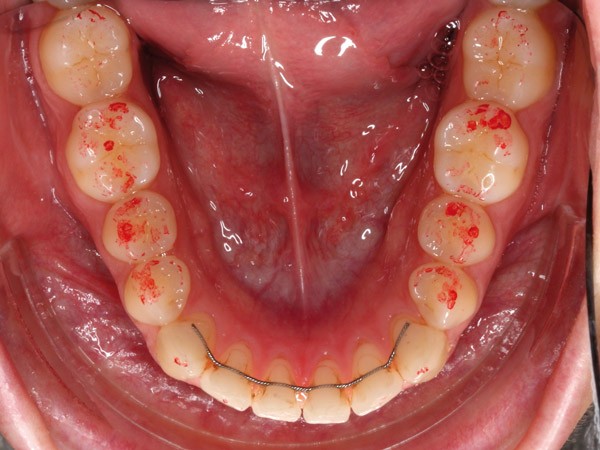
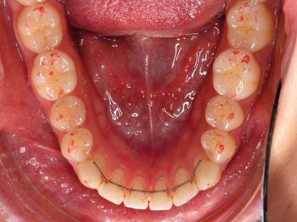
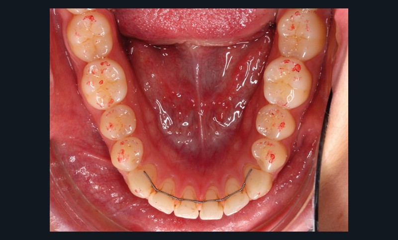
Il se présente sous forme de bandelettes, rouleaux, ou de feuilles bifaces découpées en forme de fer à cheval. Il est composé de papier buvard avec un mélange de cire, d’huile, de pigments colorés et d’agents adhésifs. Son épaisseur peut varier de 10 à 300 μm [1] et son utilisation clinique nécessite une préparation des surfaces dentaires afin d’obtenir un marquage de bonne qualité (nettoyage, rinçage, séchage à l’aide d’un coton ou d’une compresse afin d’éliminer la plaque dentaire et le film salivaire) [1]. Les pigments colorés du papier sont transférés sur la surface dentaire sous la pression du contact occlusal, et ces marques peuvent revêtir différentes formes, une couleur plus ou moins sombre ou l’aspect d’un anneau avec un centre plus clair en « halo » [2].
Ces différents aspects dépendent non seulement de la qualité et de l’épaisseur du papier, de son support, de la composition de l’encre, de l’imprégnation salivaire, mais aussi de la force de morsure [3-8]. En fonction du nombre de morsures et de la manière dont le patient serre sur le papier à articuler, la couleur, la taille et la forme des marques varient (fig. 1).
De plus, son utilisation répétée réduit significativement la précision et la sensibilité [4]. Même lorsque ces papiers sont employés dans des conditions idéales, les marques ne sont pas reproductibles [2-5, 9, 10] et le papier à articuler est souvent sujet à des perforations ou des déchirures lors des mouvements de fermeture en intercuspidie [9]. D’autre part, sur un champ humide, l’encre peut diffuser, ou le papier peut se plier, par exemple par retour du papier occlusal…

