Comment intégrer l’occlusion dans la prise en charge des parodontites sévères ?

  • Par
  • Publié le . Paru dans L'Information Dentaire n°34 - 7 octobre 2020 (page 28-36)

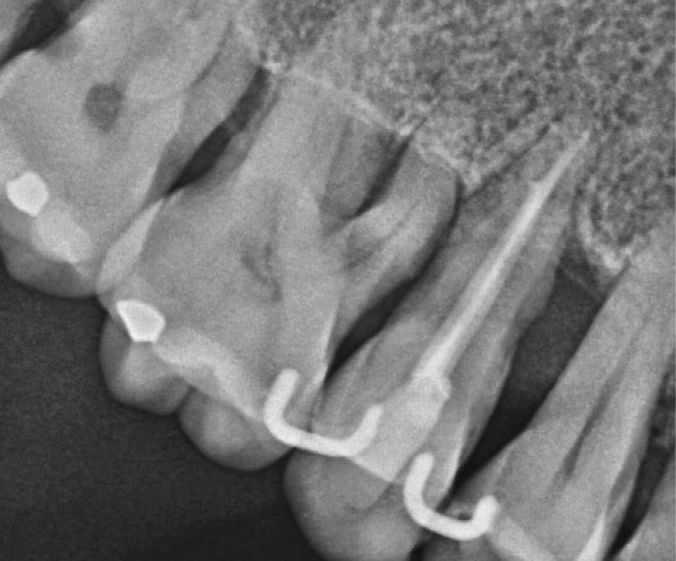
b. 7 ans après, la dent est toujours présente. Notez l’image radiologique de « corticalisation » et la réduction de l’espace ligamentaire qui suggère une stabilisation.

Information dentaire

Aborder la relation paro-occlusale revient souvent à parcourir plus d’un siècle de débats entre fervents partisans et détracteurs du rôle de l’occlusion dans la destruction parodontale. Cet article présente, sans polémique, des « regards croisés » sur ce sujet, pour fournir un rationnel scientifique et proposer une approche clinique raisonnée de l’occlusion dans la prise en charge des parodontites sévères.

Aspects occlusaux en parodontologie : preuves et controverses

Depuis la première publication sur le sujet, attribuée à Karolyi en 1901, l’absence de consensus pourrait laisser croire que la relation occluso-parodontale relève davantage de l’art et échappe à la preuve scientifique. Notre objectif, cependant, après avoir clarifié la notion de « traumatisme occlusal », est d’essayer de répondre avec les meilleures preuves scientifiques disponibles aux deux questions suivantes : le traumatisme occlusal joue-t-il un rôle dans l’initiation et la progression des parodontites ? Faut-il envisager un traitement occlusal chez un patient atteint de parodontite ?

Comment définir le traumatisme occlusal ?

D’après la nouvelle classification des maladies et conditions parodontales, les « forces occlusales traumatiques » sont celles qui dépassent les capacités d’adaptation du parodonte et/ou des dents, et entraînent une lésion dentaire ou parodontale. Le « traumatisme occlusal » est la lésion histologique provoquée par des forces occlusales traumatiques sur le parodonte. Cependant, la présence d’un ou plusieurs signes peut suggérer un diagnostic clinique de traumatisme occlusal : mobilité dentaire augmentant progressivement, mobilité dentaire adaptative (fremitus), élargissement radiologique de l’espace ligamentaire, migration dentaire, inconfort/douleur à la mastication et résorption radiculaire. On distingue le traumatisme occlusal primaire (sur support parodontal normal), le traumatisme occlusal secondaire (sur support parodontal réduit) et les forces orthodontiques [1].

Le traumatisme occlusal joue-t-il un rôle dans l’initiation et la progression des parodontites ?

Preuves

Trois types d’études ont été menés pour répondre à cette question [2] :

  • les études sur pièces anatomiques (en autopsie) ont été faites entre 1960-1970 et ne sont pas concluantes ;
  • les principales études chez l’animal ont…

Cet article est réservé aux abonnés.
Pour lire la suite :

Vous êtes abonné.e ? Connectez-vous
Mot de passe
oublié ?

Vous pouvez également :

Acheter l'article En version numérique
Acheter le numéro À l'unité

Thèmes abordés