Une grande partie de la population adulte souffre de parodontite.
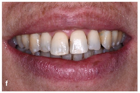
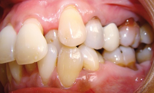
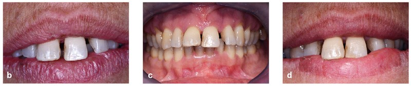
Bien souvent, dans les formes sévères, la diminution du boîtier osseux entraîne la migration et le déplacement de dents et notamment dans le secteur antérieur. Ces migrations ont un aspect disgracieux qui amène bon nombre de patients à consulter un orthodontiste pour corriger ces malpositions et retrouver à la fois une esthétique du sourire plus agréable et une fonction masticatrice plus efficace. Cependant, l’origine de ces migrations tient à l’inflammation du parodonte se traduisant par une plus grande laxité ligamentaire et une destruction du boîtier osseux. Dans certains cas, une surcharge occlusale aggrave encore le déplacement. Le traitement de l’inflammation par une thérapeutique initiale parodontale diminue la migration mais souvent, ne suffit pas à retrouver un positionnement correct (fig. 1). Il est alors nécessaire de mettre en œuvre une prise en charge orthodontique.
C’est dans cette approche pluridisciplinaire des cas complexes qu’il est intéressant de s’interroger sur les inter-relations existantes entre l’orthodontie et la parodontie et sur les mesures thérapeutiques les plus efficaces à prendre pour rendre nos plans de traitement moins fastidieux et plus efficients.
Les traitements orthodontiques et parodontaux sont souvent opposés. L’étiologie principale des maladies parodontales est la plaque bactérienne et son organisation en biofilm. Mais il existe également des facteurs prédisposant à la maladie et parmi eux, on note les malpositions dentaires et le traitement orthodontique. En effet un traitement orthodontique, tout comme une dysharmonie dento-dentaire, est considéré comme un facteur de risque par le manque d’accessibilité à l’hygiène dentaire et l’augmentation de l’accumulation bactérienne qu’ils entraînent.
Il a été montré que les dispositifs orthodontiques…



