Comment traiter les ostéonécroses des mâchoires ? Traitement médical ou chirurgical ?

  • Par
  • Publié le . Paru dans L'Information Dentaire n°21 - 26 mai 2021 (page 58-66)
Information dentaire

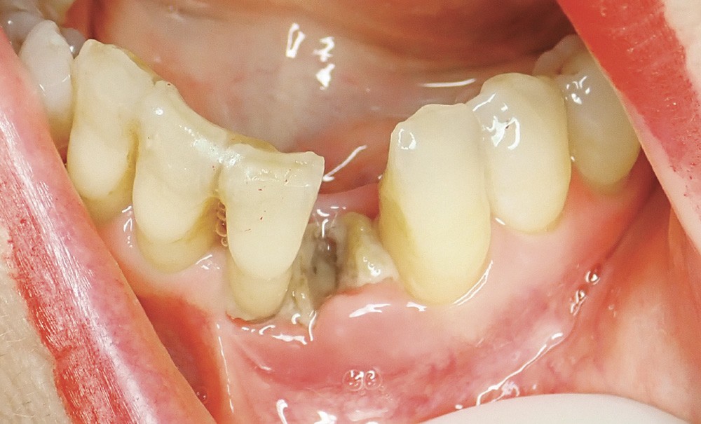
Les ostéochimionécroses des maxillaires d’origine médicamenteuse regroupent des ostéonécroses en lien avec la prise de bisphosphonates ou, plus récemment, de thérapies ciblées (dénosumab, sunitinib, bevacizumab, temsirolimus). Elles font partie des effets indésirables de ces thérapeutiques, notamment dans les indications oncologiques avec par exemple un risque de 6,7 % pour l’acide zolédronique et 1,9 % pour le dénosumab. En revanche, pour les indications ostéoporotiques, il est de 0,21 % pour les bisphosphonates après 4 années d’exposition et de 0,04 % pour le dénosumab [1].

En 2014, l’American Association of Oral and Maxillofacial Surgeons (AAOMS) [1] a défini les critères de diagnostic de l’ostéonécrose (tableau 1), les différents stades (tableau 2) et la prise en charge. Cette classification est à ce jour la plus employée dans les différentes études évaluant les traitements des ostéonécroses. Cependant, la prise en charge de ces dernières reste controversée puisqu’il n’existe pas à ce jour de consensus reconnu [2]. Différentes approches thérapeutiques sont proposées, allant de thérapeutiques médicales comme l’antisepsie locale avec de la chlorhexidine à 0,12 ou 0,2 %, l’antibiothérapie, l’oxygénothérapie hyperbare, la biostimulation laser, le teriparatide, l’association de pentoxifylline et tocophérol et des thérapeutiques chirurgicales conservatrices ou étendues associées à l’usage ou non à la fluorescence ou de PRF (Platelet Rich Fibrin) ou d’autres thérapeutiques médicales [1, 3-6].

Les objectifs de traitement, une fois le diagnostic posé, sont multiples [1], il s’agit de :

  • contrôler la douleur ;
  • contrôler l’infection muqueuse et osseuse ;
  • éviter la progression ou la récidive de l’ostéonécrose.

Tableau 1. Critères de diagnostic de l’AAOMS [1]

1. Traitement antérieur ou actuel par inhibiteur de la résorption osseuse ou anti-angiogénique

2. Exposition osseuse directe (ou via fistule intra ou extra-orale dans la région maxillo-faciale) persistante depuis plus de huit semaines

3. Absence d’antécédents de radiothérapie cervico-faciale, ou de diagnostic local de récidive tumorale ou de métastase

 

Tableau 2. Stades d’ostéonécroses selon AAOMS [1]

Patient à risque d’ostéonécrose ayant été traités par des bisphosphonates per os ou par voie intraveineuse

Stade 0

Pas d’os nécrotique apparent, mais présence de signes cliniques ou radiographiques

Cet article est réservé aux abonnés.
Pour lire la suite :

Vous êtes abonné.e ? Connectez-vous
Mot de passe
oublié ?

Vous pouvez également :

Acheter l'article En version numérique
Acheter le numéro À l'unité

Thèmes abordés