La réalisation d’une clé palatine permettant d’établir un cadre palato-proximal, préalablement à la stratification, s’inscrit dans la ligne de simplification des restaurations antérieures en composite direct.
Le but, comme pour les restaurations proximales postérieures, est de transformer une cavité « complexe » en une cavité simple ou une face, ici avec un mur palatin et des faces proximales. Ne restera plus ensuite au praticien qu’à « remplir » ce cadre préfigurant la forme finale de la dent, se concentrant uniquement sur le positionnement des masses dentine et émail et sur leurs épaisseurs respectives.
1. Réalisation de la clé palatine
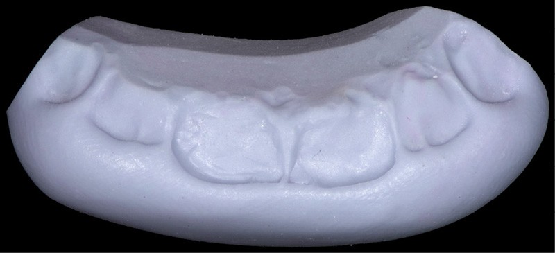
Cette clé en silicone correspond à l’enregistrement de la face linguale idéale de la future restauration. Elle se fera donc :
– sur un wax-up ;
– sur les précédentes restaurations à remplacer si elles présentent une forme correcte ;
– sur un mock-up direct en bouche : application et modelage directement sur la dent d’un composite sans adhésion préalable : on se focalisera alors sur la longueur et la forme de la face palatine de cette restauration transitoire.
Une fois enregistrée, la restauration sera retirée d’un simple coup de sonde.
On veillera à ce que cette clé soit réalisée dans un silicone suffisamment rigide (afin d’éviter toute déformation lors de la réinsertion), qu’elle s’étende au moins de latérale à latérale, voire de canine à canine, afin d’obtenir une bonne stabilisation, et qu’elle ne revienne pas au-delà du bord libre au niveau de la restauration à réaliser.
2. Réalisation du mur palatin
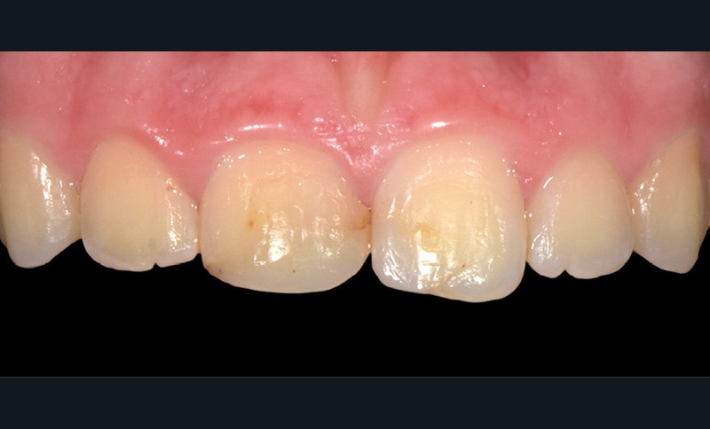
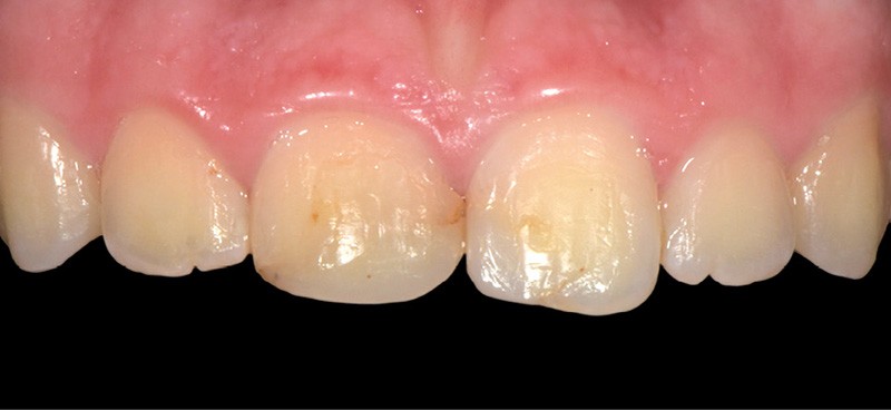
Nous allons donc utiliser cette clé après élimination de l’éventuelle ancienne restauration/isolation/préparation des limites (vestibulaire en particulier)/adhésion.
Ce mur servira de support pour la stratification.
[gallery link= »file » columns= »1″ ids= »41998, 41999…


