Le diable se cache dans les détails !
1. Situation initiale. Le composite a été refait trois fois durant
les deux dernières années, du fait de décollements répétés. La forme et le poli de surface sont à l’évidence perfectibles ; pourtant l’intégration du composite est correcte ! Cela prouve une nouvelle fois l’incroyable potentiel esthétique de ce matériau !
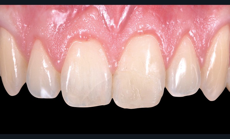
2. Situation après dépose du composite et mise en place du champ opératoire. On observe de nombreuses fêlures amélaires sur la 11 et sur la dent à restaurer.
3. En plaçant les flashs différemment, on voit moins les fêlures, mais on perçoit beaucoup mieux la texture de surface à reproduire ; c’est là que se trouve le vrai challenge !
4. La technique de stratification débute par le montage du mur palatin, puis du contact proximal. Le composite utilisé pour l’ensemble de la stratification est l’Inspiro® (Acteon).
{{Fig4}}
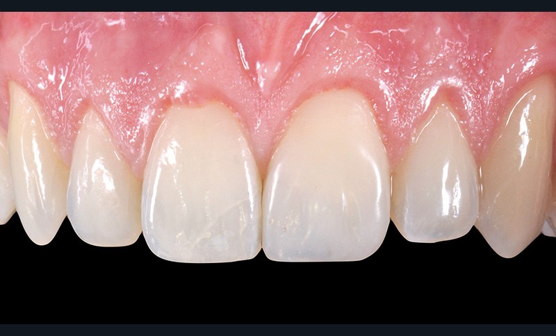
5. Situation à une semaine. La couleur et la forme s’intègrent bien…
6. …mais le travail sur l’état de surface fait clairement défaut. En réalité, la séance de contrôle à une semaine permet d’apporter les éventuelles retouches de teinte ou de forme ou, si besoin, de combler une porosité de surface. Il serait donc contre-productif de travailler la texture de surface dès la première séance.
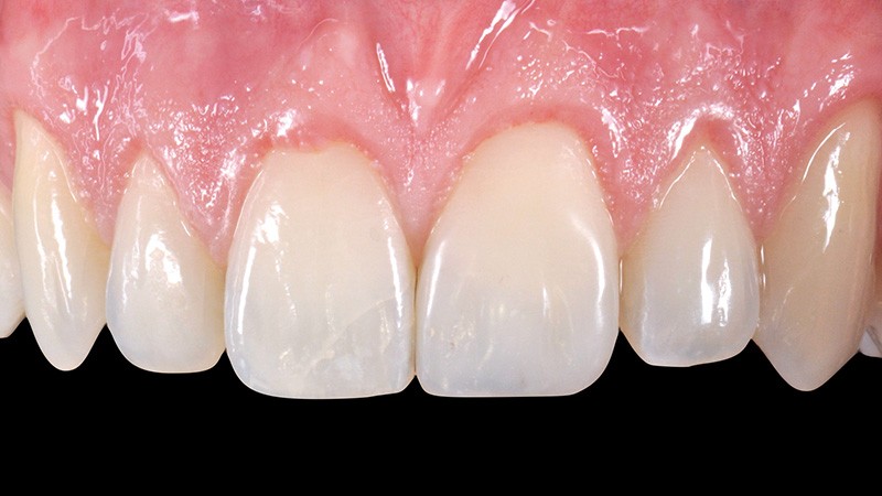
7. Un premier dessin est apporté à la fraise flamme bague rouge pour marquer les concavités et imiter les stries horizontales de croissance (périkématies). Puis le polissage est effectué à l’aide d’une pointe Identoflex® jaune (Kerr). Le brillantage est ensuite assuré par une cupule cloche Identoflex® grise (Kerr).
8. Sur cette vue de face, on se rend bien compte que la 21 est…






