L’injection de composite est une nouvelle approche en restauration directe permise par l’évolution des matériaux. Elle vient compléter l’arsenal thérapeutique du chirurgien-dentiste en offrant une alternative aux composites stratifiés, certes très esthétiques, mais également chronophages. La réalisation de composites injectés est une solution clinique à la mise en œuvre rapide, mais au résultat moins mimétique.
Introduction
De nouveaux composites dits injectables ont vu le jour récemment. Ils se présentent sous forme fluide mais ont des propriétés optiques et mécaniques qui permettent leur utilisation comme composite de restauration [1, 2]. Ces matériaux ont permis l’essor d’une nouvelle technique de restauration antérieure : l’injection. Bien que pouvant sembler opposées, l’injection et la stratification sont deux techniques complémentaires et similaires en de nombreux points.
L’injection répond à un besoin clinique : c’est une technique standardisable et rapide qui permet de planifier en amont puis de transposer en bouche.
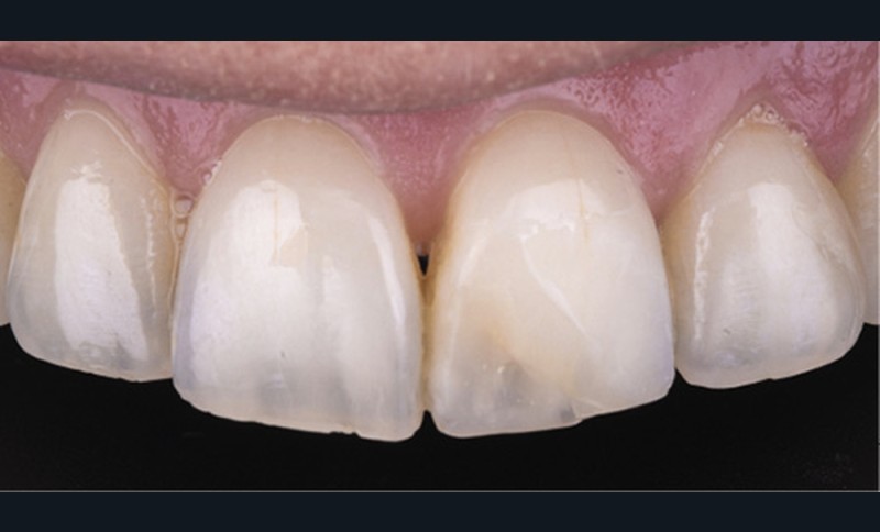
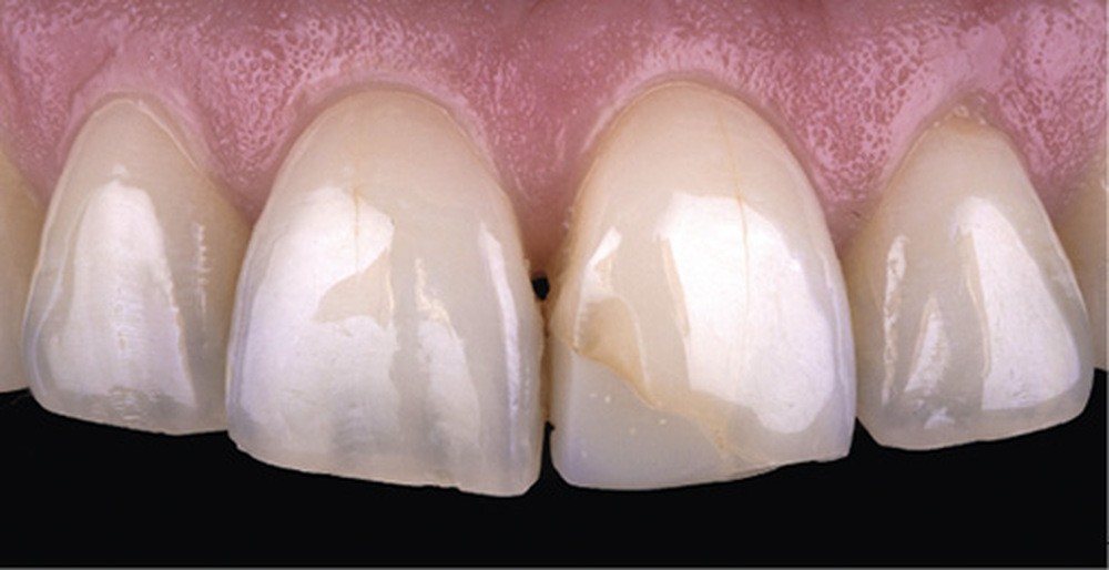
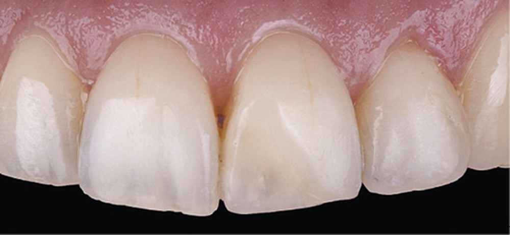
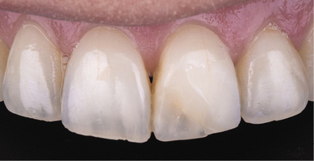
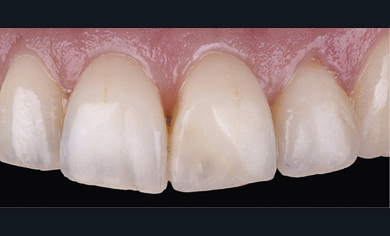
La stratification, quant à elle, permet d’obtenir des résultats plus esthétiques, répondant à la demande de certains patients d’un rendu le plus biomimétique possible. Cependant, la courbe d’apprentissage est longue et le résultat peut varier malgré un même protocole (fig. 1 à 3).
Diagnostic et indication
Lorsqu’un patient se présente pour une restauration antérieure, le gradient thérapeutique doit guider la réflexion du praticien [3]. Pour une perte tissulaire de petite ou moyenne étendue, une restauration en composite est indiquée. Elle sera moins invasive que la réalisation d’une facette en céramique collée, et la réintervention n’en sera que plus aisée.
Par ailleurs, la réalisation de « facettes » composites à l’adolescence, afin de temporiser jusqu’à la fin de la croissance osseuse et de l’éruption passive…


