Conduite à tenir face à un syndrome du fil, illustration au travers d’un cas clinique

  • Par
  • Publié le . Paru dans L'Orthodontiste n°1 - 15 février 2022 (page 21-28)
Information dentaire

Définition du syndrome du fil

Un traitement orthodontique est usuellement suivi de la mise en place d’une contention fixe collée de 33 à 43 [1]. Ces fils collés permettent de maintenir les dents antérieures dans une position esthétique et fonctionnelle idéale et évitent les récidives des anomalies corrigées ainsi que des migrations secondaires [2]. Cette contention doit nécessairement respecter un certain cahier des charges [3]. Elle doit être mise en place dès la dépose de l’appareil orthodontique pour éviter la récidive histologique.

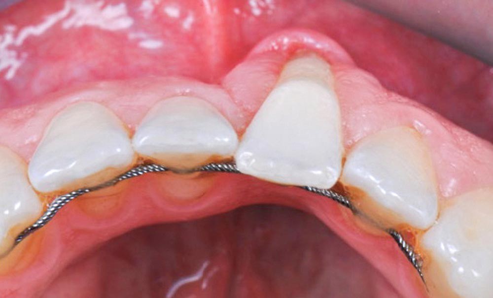
Certaines complications peuvent apparaître suite à la pose de ces contentions fixes, notamment « le syndrome du fil ». Il est décrit par le Dr Florence Roussarie [4/5] comme une complication inattendue, plus ou moins sévère, suivant un traitement orthodontique, qui correspond à des mouvements parasites du secteur incisivo-canin bien que les dents semblent parfaitement collées à un fil de contention. Des espaces entre les dents peuvent apparaître ainsi que des modifications de l’inclinaison entraînant les dents en dehors des bases osseuses. Ces mouvements inattendus d’inclinaison des dents peuvent être accompagnés de récessions gingivales plus ou moins sévères nécessitant souvent une greffe gingivale [6].

Ces mouvements indésirables sont retrouvés principalement à la mandibule [7], la contention maxillaire fixe collée étant moins fréquente. De plus, l’impact esthétique de l’apparition d’un torque différentiel au maxillaire amène le patient à consulter plus précocement.

Certains auteurs, tels que Pazera [8], décrivent dans une étude de cas une complication à la suite de la pose d’un fil torsadé souple, collé sur les faces linguales des six dents antérieures mandibulaires. Quatre ans après un traitement orthodontique, il observe l’apparition d’une inclinaison radiculo-vestibulaire de 35° sur une canine mandibulaire. Katsaros, pour sa part, a décrit des mouvements…

Cet article est réservé aux abonnés.
Pour lire la suite :

Vous êtes abonné.e ? Connectez-vous
Mot de passe
oublié ?

Vous pouvez également :

Acheter l'article En version numérique
Acheter le numéro À l'unité

Thèmes abordés