Conserver, extraire : quelles sont les limites ? Point de vue parodontal

  • Par
  • Publié le . Paru dans Réalités Cliniques n°2 - 11 juin 2020 (page 104-108)

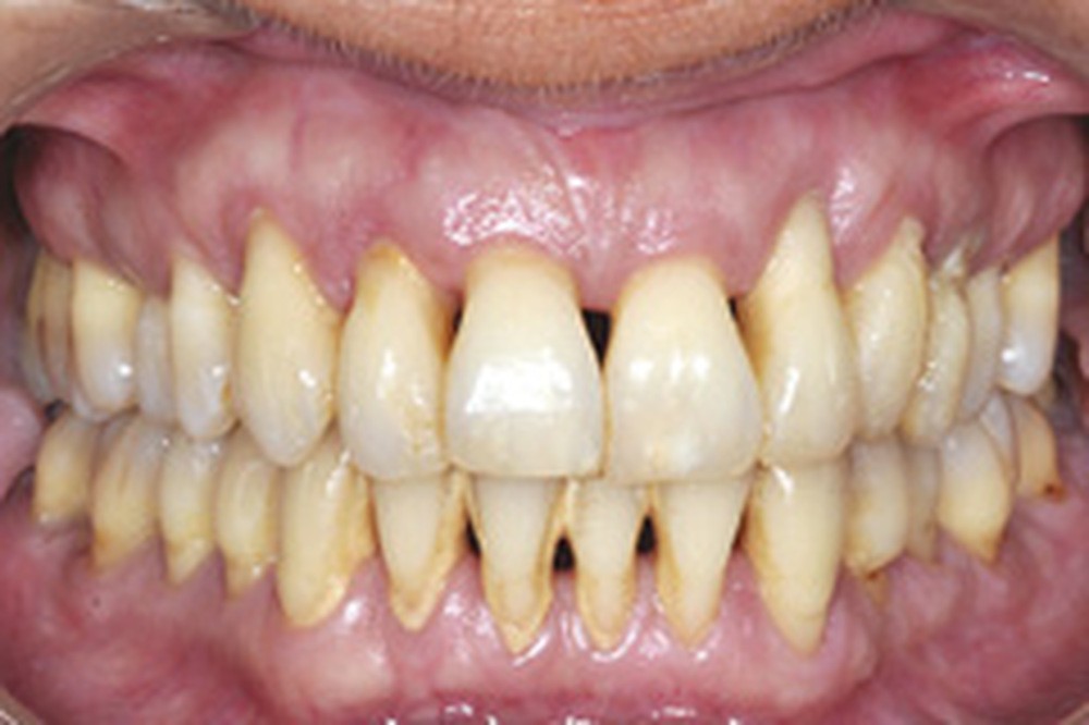
2. Situation initiale : vue clinique montrant des récessions, une inflammation parodontale et des dépôts locaux abondants.

Information dentaire
Conserver ou extraire une dent ? Cette question est probablement celle que nous nous posons le plus souvent dans notre exercice. Il est évident que la réponse doit prendre en compte non seulement l’état de la dent elle-même, mais aussi sa place stratégique dans un plan de traitement global, ainsi que le contexte général du patient. Concernant l’état de l’organe dentaire, il est possible de définir des critères pouvant nous aider à orienter la décision. Ainsi, afin de respecter le principe de mutilation biologique minimum et pour débuter ce numéro, nous avons souhaité nous interroger sur les limites de conservation d’une dent et avons demandé à trois cliniciens spécialisés en dentisterie restauratrice, endodontie et parodontologie de nous apporter leur éclairage, pour nous aider à déterminer les facteurs à prendre en compte pour résoudre cette épineuse question.

Du point de vue parodontal, la décision de conserver ou d’extraire dépend du pronostic. Un mauvais pronostic justifie l’extraction. Le pronostic est cependant parfois complexe à évaluer, et dépend de facteurs qui peuvent se modifier dans le temps. L’implication du patient dans le traitement (hygiène) et la qualité du suivi parodontal (maintenance) permettent de repousser les limites de la conservation, et d’améliorer les conditions de remplacement des dents extraites.

En parodontologie, la conservation des dents, bien que soumise à des conditions multidisciplinaires, demeure le traitement par défaut. Ce qui peut être résumé par une lapalissade : on extrait quand on ne peut pas conserver, malgré un traitement. Conserver suppose donc que, après traitement, le pronostic de la dent (du site parodontal) soit suffisant, en prenant en compte le pronostic global (de la maladie).

Pronostic et traitement parodontal

Le traitement des maladies parodontales suit une chronologie systématique :

1. Contrôle des facteurs de risque

2. Traitement initial (contrôle de l’infection)

3. Réévaluation

4. Traitements complémentaires (chirurgicaux ou non)

5. Bilan de fin de traitement

6. Suivi parodontal

Le pronostic après traitement parodontal va conditionner la décision de conservation ou d’extraction. Il est en général bon lorsque l’atteinte parodontale est modérée. En cas d’atteinte parodontale avancée, le pronostic dépend des caractéristiques anatomiques de la lésion parodontale, qui conditionne les possibilités de traitement. Il est bon de rappeler que la mobilité n’est pas un facteur pronostic sauf pour les mobilités de grade IV (mobilité verticale).

Traitement parodontal personnalisé

À ces facteurs pronostics s’ajoutent deux éléments incontournables pour mettre en place une stratégie de traitement individuelle :

– le plan de traitement global, en particulier prothétique ;

– les caractéristiques individuelles…

Cet article est réservé aux abonnés.
Pour lire la suite :

Vous êtes abonné.e ? Connectez-vous
Mot de passe
oublié ?

Vous pouvez également :

Acheter l'article En version numérique
Acheter le numéro À l'unité

Thèmes abordés

Sur le même sujet

Parodontologie

Article réservé à nos abonnés De la muco-esthétique à la muco qui sauve les dents

Le concept PASS au cœur de l’innovation parodontale La chirurgie plastique parodontale a connu une évolution notable, alliant avancées cliniques et technologiques...
Implantologie

Article réservé à nos abonnés Vertiprep versus congé et épaulement

Responsable scientifique : Anne Longuet Intervenant : Hugues De Belenet Photos et schémas : © Hugues de Belenet Il n’est plus nécessaire,...
Implantologie

Article réservé à nos abonnés Déposer un implant : quand et comment ?

Responsable scientifique : Karim Dada Conférencier : Léon Pariente Bien que les taux de survie des thérapeutiques implantaires soient élevés, équivalents à...
Implantologie

Article réservé à nos abonnés L’approche immédiate unitaire : toujours d’actualité ?

Responsable scientifique : Gary Finelle Intervenant : Joseph Kan L’approche implantaire immédiate du secteur antérieur est parfois appréhendée comme une indication thérapeutique...
Parodontologie

Article réservé à nos abonnés Séance SFPIO – Quelles sont les bonnes pratiques en parodontologie en 2024 ?

Responsable scientifique : Caroline Fouque Intervenants : Damien FEUILLET, Hélène RANGé, Nicolas BLANC-SYLVESTRE La parodontologie au croisement des disciplines Toutes sévérités confondues, les...