Conserver ou extraire les dents de sagesse : le point sur les indications et les techniques chirurgicales

  • Par
  • Publié le . Paru dans Réalités Cliniques n°4 - 15 décembre 2020 (page 302-311)

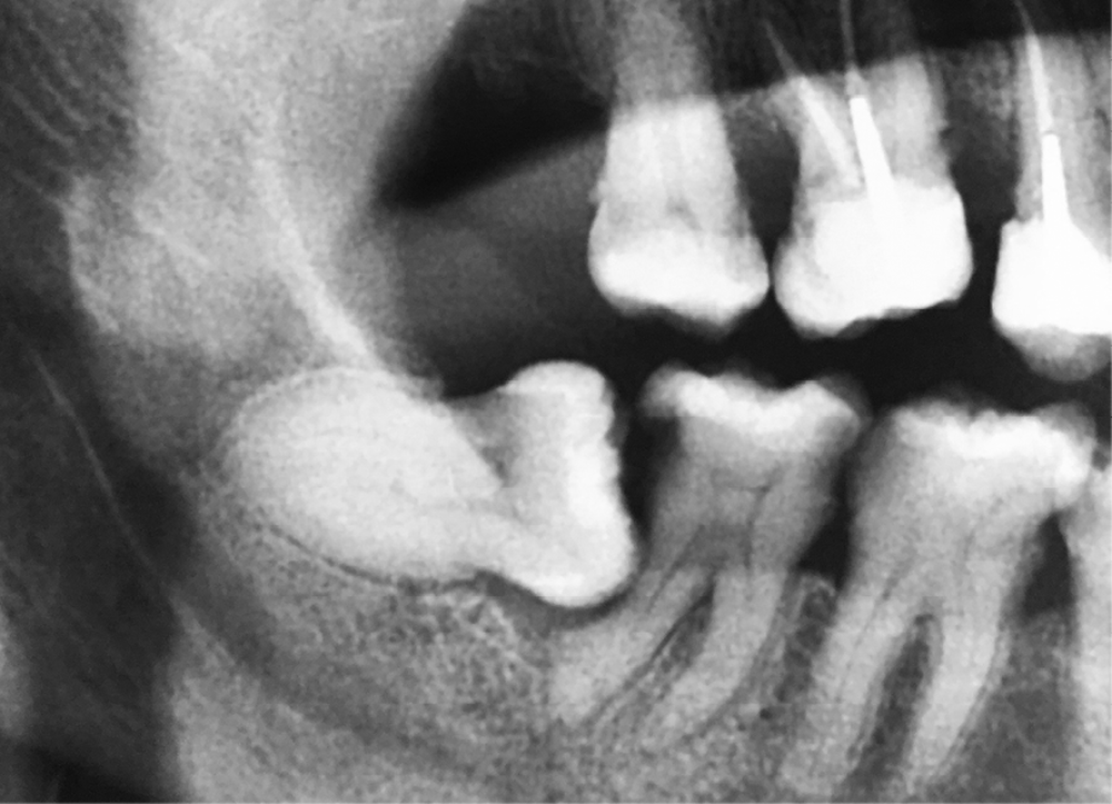
4a. Lésion parodontale en distal de 37 en rapport avec 38 mésioversée et une difficulté à l’hygiène.

Information dentaire
L’extraction des troisièmes molaires est un acte courant dans notre pratique, qui nécessite de poser la bonne indication de conservation ou d’avulsion selon la situation clinique, tout en ayant une connaissance précise et une maîtrise du geste chirurgical. L’objectif de cet article est de préciser, selon les dernières recommandations, les critères de choix de la conservation ou de l’avulsion des dents de sagesse en analysant les bénéfices et les risques, afin de prévenir tout événement indésirable ou complication per et postopératoire de cette intervention.

L’extraction des troisièmes molaires est une intervention fréquente en chirurgie orale qui représente environ 36 % des actes d’extraction. Prendre la décision d’extraire les dents de sagesse peut être difficile pour les praticiens et certaines situations peuvent être discutées. Un contexte d’incertitude persiste quant à leur prise en charge, pouvant conduire à des avulsions inutiles voire nuisibles, ou au contraire à une conservation plus néfaste que bénéfique.

En s’appuyant sur des recommandations scientifiques, cet article propose de répondre aux interrogations fréquentes des praticiens sur la conservation ou l’extraction des dents de sagesse, de présenter les conduites à tenir et de décrire les techniques chirurgicales fiables. L’objectif est d’avoir une prise en charge pertinente, afin d’homogénéiser et d’optimiser les pratiques.

Indications et recommandations

Pour prendre la décision de conserver ou d’extraire les dents de sagesse, le praticien dispose de recommandations nationales précises et récentes, publiées par la Haute Autorité de Santé (HAS), qui doivent être la référence [1]. Cela n’empêche pas de rencontrer régulièrement des situations moins tranchées nécessitant de prendre une décision raisonnée en fonction des éléments diagnostiques.

L’extraction des dents de sagesse ne doit pas être considérée comme un acte banal et systématique. Si les indications d’avulsions à titre curatif sont claires, les avulsions préventives sont plus controversées car prédire l’évolution de ces dents sur de simples analyses radiographiques est difficile.

Les indications liées au contexte médical

L’anamnèse et la consultation préopératoires sont indispensables pour connaître les antécédents médicaux et chirurgicaux de nos patients. Certaines pathologies ou traitements peuvent nous amener à indiquer l’extraction des troisièmes molaires. Les indications sont posées pour prévenir…

Cet article est réservé aux abonnés.
Pour lire la suite :

Vous êtes abonné.e ? Connectez-vous
Mot de passe
oublié ?

Vous pouvez également :

Acheter l'article En version numérique
Acheter le numéro À l'unité

Thèmes abordés

Sur le même sujet

Esthétique

Article réservé à nos abonnés Un mois sans alcool pour repenser sa consommation : le Dry January revient

Le Défi de janvier (Dry January) revient e n 2026 pour sa septième édition. Cette campagne citoyenne semble s’imposer comme...
Esthétique

Article réservé à nos abonnés Rencontre avec Pierre Keller : gestion des tissus mous péri-implantaires

1er cas lauréatResponsable de séance : Othman MikouIntervenant : Pierre Keller  Extraction–implantation immédiate (EII) : volumes osseux et gingivaux suffisants...