Considérations sur le profil d’émergence implantaire du secteur antérieur

  • Par
  • Publié le . Paru dans L'Information Dentaire n°32 - 25 septembre 2019 (page 20-34)
Information dentaire

La reconstruction implantaire du secteur antérieur est certainement l’un des défis les plus complexes à relever et représente un défi majeur. Aujourd’hui, le traitement implantaire ne doit plus seulement rétablir la fonction des dents remplacées, mais répondre également aux exigences esthétiques de plus en plus précises des patients. La recherche d’une denture qui semble naturelle s’inscrit dans l’évolution sociale actuelle et est devenue un objectif incontournable des restaurations prothétiques.

Stratégies implantaires esthétiques

Initialement, les critères de succès de l’implant étaient limités à l’établissement et au maintien dans le temps de l’intégration osseuse qui semblent aujourd’hui être acquis dans une majorité de cas cliniques [1].

Ce n’est que bien plus tard que les caractéristiques de la muqueuse péri-implantaire ont été prises en compte et décrites en comparaison, le plus souvent, de l’anatomie du parodonte des dents naturelles adjacentes. Les critères retenus sont la couleur, la texture, le volume, mais surtout l’alignement de la muqueuse marginale et la présence des papilles. Des indices ont été proposés pour l’évaluer avec précision [2].

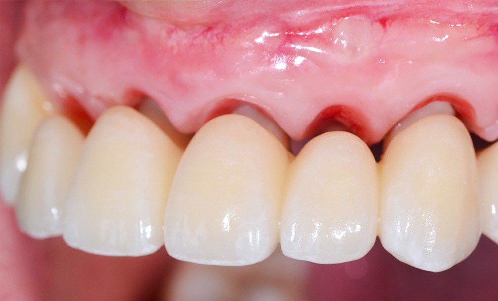
La réussite esthétique des restaurations implantaires dépend essentiellement de l’intégration dans l’environnement muqueux. Ce petit manchon gingival qui sépare le col de l’implant de la couronne prothétique, soutenu par le pilier prothétique, va faire toute la différence entre une restauration implantaire exclusivement fonctionnelle et une restauration esthétiquement intégrée. Le problème est complexe et la fréquence des restaurations implantaires fonctionnelles qui ne répondent pas aux critères esthétiques se révèle importante, avec ou sans préjudice esthétique pour le patient [3].

De plus, sur le long terme, des problèmes de stabilité des tissus péri-implantaires, en particulier l’apparition d’une récession gingivale et/ou la diminution de la hauteur des papilles au niveau de la muqueuse, peuvent être attendus [4-6].

Une ligne du sourire basse permet de relativiser l’enjeu, mais des études montrent que l’incidence visuelle de la muqueuse n’est pas si faible lorsque l’on tient compte d’une vision latérale du sourire. Hochman et coll., en 2012, étudient la ligne du sourire sur des photographies frontale et latérales droites et gauches chez 420 patients âgés de 10 à 89 ans. Ils observent la présence visuelle…

Cet article est réservé aux abonnés.
Pour lire la suite :

Vous êtes abonné.e ? Connectez-vous
Mot de passe
oublié ?

Vous pouvez également :

Acheter l'article En version numérique
Acheter le numéro À l'unité

Thèmes abordés