et d’une chirurgie maxillo-faciale bimaxillaire assistée par ordinateur
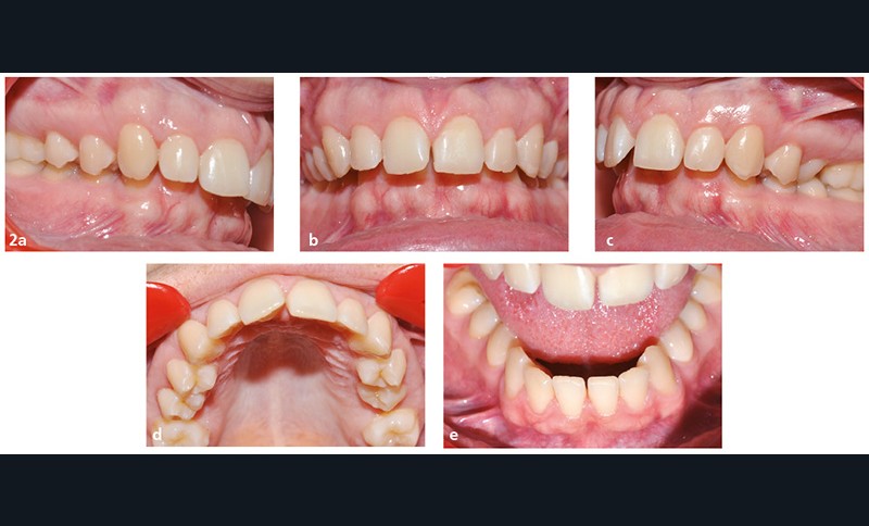
La patiente est une adulte de 22 ans présentant une rétrognathie mandibulaire associée à une endoalvéolie mandibulaire avec un défaut d’occlusion entre 14-15 et 44-45. Le contexte vertical est hypodivergent avec une forte supraclusion incisive.
On observe une agénésie des 17-27-18-28-37-47-38-48 (fig. 1 à 3).
{FIG3}}
Il a été décidé de réaliser la préparation orthodontique de décompensation dento-alvéolaire à l’aide de la technique Insignia pour optimiser la coordination pré-chirurgicale des arcades. Des arcs et brackets sur mesure ont donc été fabriqués à partir d’un set-up numérique réalisé par le laboratoire Ormco et finalisé par nos soins.
La préparation des arcades présente une difficulté, le défaut d’occlusion au niveau des secteurs 1 et 4 va être difficile à corriger sans avancée mandibulaire, il est donc décidé de le corriger après la phase chirurgicale.
Concernant la phase chirurgicale, une ostéotomie de Le Fort I et une ostéotomie sagittale des branches montantes sera pratiquée par le Dr Clémentine Vincent à la clinique Sainte-Marguerite à Hyères.
La préparation de la gouttière chirurgicale d’avancée mandibulaire a été réalisée à l’aide du logiciel Dolphin 3D surgical permettant de simuler les déplacements des bases osseuses et d’en extraire une gouttière numérique imprimée à l’aide d’une imprimante 3D par Vincent Martin (laboratoire Uzege Ortho).
Préparation orthodontique à l’aide du laboratoire Insignia (fig. 4).
La technique Insignia est une technique multiattaches utilisant des attaches Damon mais qui sont réalisées à partir d’un set-up.
Elle présente quatre intérêts :
• la visualisation de nos objectifs de traitement en 3D,
• la réalisation d’attaches avec des valeurs de torque individuelles pour les attaches métalliques,


