Situation thérapeutique
Présentation du cas (fig. 1 et 2)
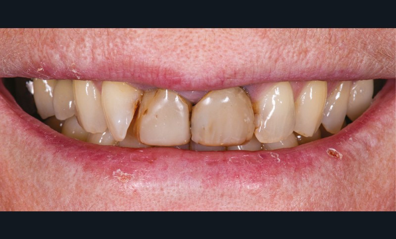
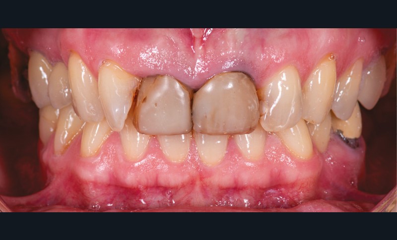
Une patiente de 55 ans se présente pour une prise en charge esthétique de son sourire. Sa demande regroupe à la fois la teinte, l’encombrement incisivo-canin et l’asymétrie des incisives centrales.
Les deux incisives centrales ont été traitées endodontiquement plusieurs années auparavant et restaurées par des composites directs.
Le contrôle de plaque est insuffisant et nous notons une perte d’attache entre 12 et 11.
La patiente refuse d’emblée tout traitement orthodontique, même par aligneurs.
Le but de cet article est de mettre en avant les matériaux utilisés dans une réhabilitation esthétique partielle composée de deux couronnes périphériques sur 11 et 21 et d’une facette vestibulaire sur 12.
Plan de traitement
Il se décompose ainsi :
- préparation parodontale par détartrage et motivation à l’hygiène, suivies d’un surfaçage radiculaire au niveau des incisives, correction des surcontours de composite ;
- reprise des traitements endodontiques de 11 et 21 ;
- éclaircissement externe des deux arcades par gouttières nocturnes et peroxyde de carbamide à 10 % [1] ;
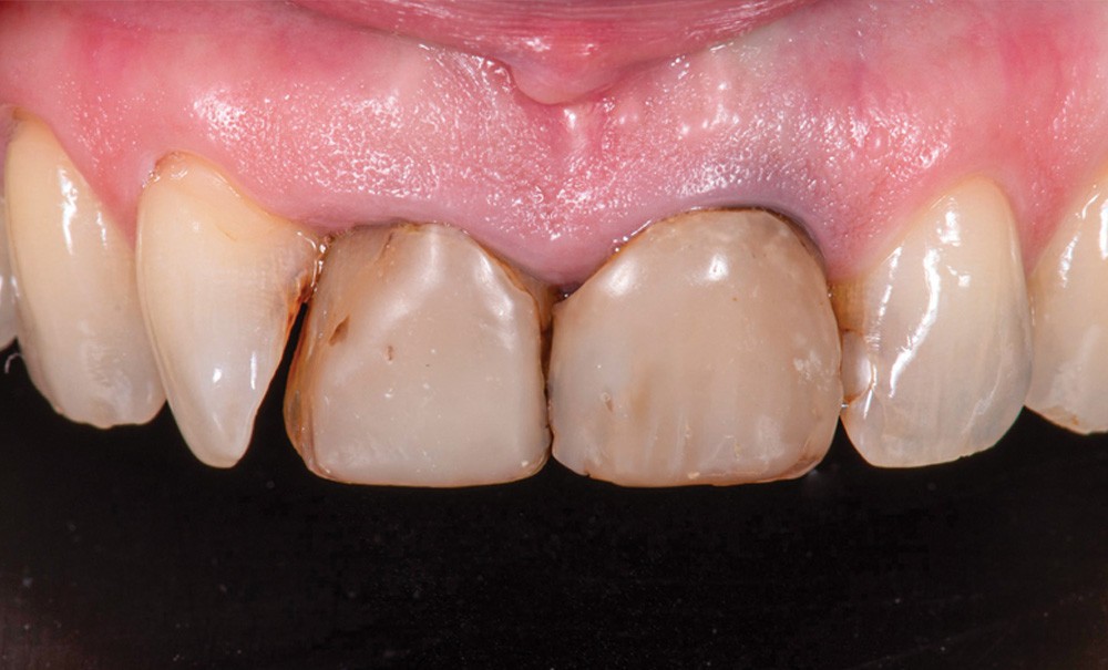
- provisoires de première génération sur 11 et 21, empreintes numériques simples des préparations périphériques dans le but d’élaborer des modèles de diagnostic de laboratoire imprimés (fig. 3 et 4) ;
- éclaircissement interne au peroxyde de carbamide à 30 % ;
- reconstitutions corono-radiculaires au composite et tenons fibre de verre ;
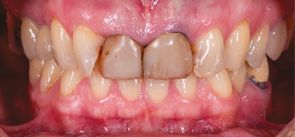
- dans la même séance, provisoires de deuxième génération issues de modèles de diagnostic numériques (fig. 5) ;
- masque d’essai numérique de correction réalisé à partir d’une étude esthétique faite avec un logiciel de correction d’image (Photoshop®);
- gingivectomie sur la 11 pour aligner les collets, finition des préparations périphériques sur 11 et 21 et d’une facette sur 12, au…

