Découverte fortuite d’une coloration palatine

  • Par
  • Publié le . Paru dans Parodontologie Implantologie Orale, un nouveau regard n°2 - 15 novembre 2021 (page 32-33)
Information dentaire

Situation clinique

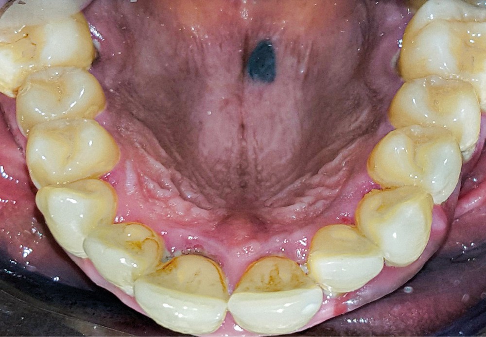
Anamnèse. Un patient adulte est adressé par son chirurgien-dentiste traitant après la découverte fortuite d’une lésion palatine. Il est en bonne santé générale, ne fume pas, consomme de façon occasionnelle des boissons alcoolisées, ne présente aucun antécédent médical et ne prend aucune médication. En outre, il ne ressent aucune douleur ni autre symptôme général. Par ailleurs, son phototype cutané est de type V selon la classification de Fitzpatrick (peau, cheveux et yeux de couleur foncée [1]).

Examen clinique. Il révèle :

  • la présence d’une macule pigmentée, de couleur noire-bleutée (contrastant avec les plages pigmentées physiologiques), bien délimitée, aux contours nets, située dans la muqueuse postérieure du palais dur à droite du raphé ;
  • L’absence de lésion pigmentée d’aspect similaire sur les autres muqueuses orales, les parties cutanées visibles (visage, mains, bras) et les ongles des doigts de la main.

Diagnostic différentiel

La présence d’une macule unique pigmentée asymptomatique au niveau de la muqueuse palatine doit faire évoquer quatre hypothèses diagnostiques, toutes de prévalence rare [2] :

  • un mélanome muqueux (tumeur maligne mélanocytaire) ;
  • un naevus mélanocytaire (tumeur bénigne : prolifération de mélanocytes dendritiques, allongés, en forme de fuseau, regroupés en amas dans le chorion) ;
  • un mélano-acanthome (tumeur bénigne : prolifération de mélanocytes dendritiques au sein d’un épithélium acanthosique associée à une incontinence mélanique dans la lamina propria) ;
  • une macule mélanotique (lésion bénigne : surproduction de mélanine dans les couches basales de l’épithélium associée à une incontinence mélanique dans la lamina propria).

Conduite à tenir

Exérèse chirurgicale et prescription d’un examen anatomopathologique afin de préciser la nature exacte de la lésion pigmentée. Pour le patient, cet examen…

Cet article est réservé aux abonnés.
Pour lire la suite :

Vous êtes abonné.e ? Connectez-vous
Mot de passe
oublié ?

Vous pouvez également :

Acheter l'article En version numérique
Acheter le numéro À l'unité

Thèmes abordés