Présentation du cas
Une patiente de 28 ans se présente en première consultation pour un éclaircissement dentaire. Lors de ce premier entretien, elle nous fait part de son complexe : ses incisives trop courtes.
État initial
L’interrogatoire médical révèle une dépression associée à un trouble du comportement alimentaire. La patiente souffrait de boulimie vomitive, aujourd’hui guérie.
Des restaurations composites ont été successivement posées dans le passé afin de restaurer les pertes de substances érosives et palier ses sensibilités.
Examens cliniques
Exobuccal :
La patiente présente un visage symétrique et équilibré.
Son motif de consultation est clairement énoncé : elle veut changer son sourire qu’elle trouve disgracieux.
Endobuccal :
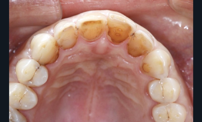
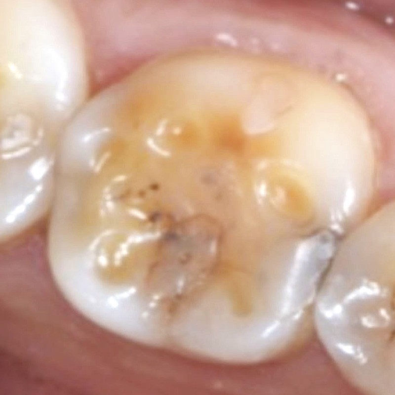
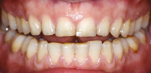
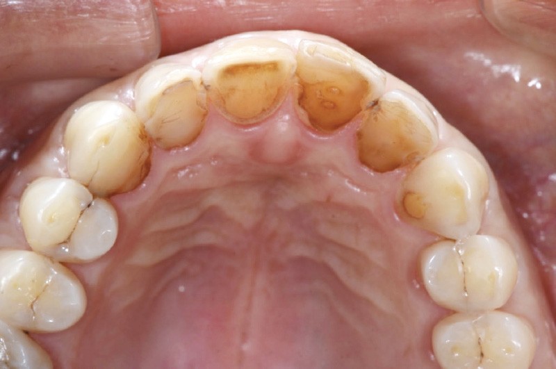
La patiente présente des lésions érosives en cupule, notamment sur le secteur antérieur maxillaire et sur la 36 (fig. 1 a-b). Elle présente par ailleurs divers composites anciens et infiltrés.
Analyse du sourire
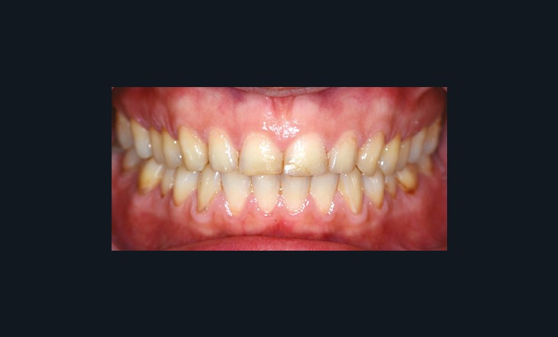
Le sourire de la patiente est dans l’ensemble harmonieux :
– visage ovale et symétrique, parallélisme de la ligne du sourire avec la ligne bi-pupillaire ;
– ligne du sourire favorable, car ne découvrant pas la ligne des collets ;
– impression de « dents courtes » : l’érosion a atteint le bord libre du secteur antérieur maxillaire (fig. 2) (groupe 3 de la Classification de Colon et Lasfargues) ;
– égression compensatrice de 1 mm de 11-21 entraînant une ligne des collets non homogène ;
– position des dents harmonieuse ;
– dents jaunies par une consommation de tabac et de café.
L’étude des mouvements mandibulaires ne montre pas d’anomalies et il n’existe pas de troubles articulaires.
Examens radiographiques
Les examens complémentaires révèlent d’anciennes restaurations infiltrées qui seront à remplacer.
Diagnostic
En résumé, la patiente…



