Déminéralisations amélaires. Facteurs de risque et prévention

  • Par
  • Publié le . Paru dans L'Information Dentaire (page 26-31)
Information dentaire
Le but de cet article est de montrer, à travers un cas clinique, les conséquences de l’apparition des déminéralisations amélaires au cours d’un traitement orthodontique, sur le plan esthétique, voire fonctionnel chez certains patients, et d’analyser les divers facteurs pouvant favoriser leur apparition, ainsi que les différents moyens de prévention.

Asmae Benkaddour, Asmae Bahoum, Loubna Bahije, Bouabid El Mohtarim, Fatima Zaoui 

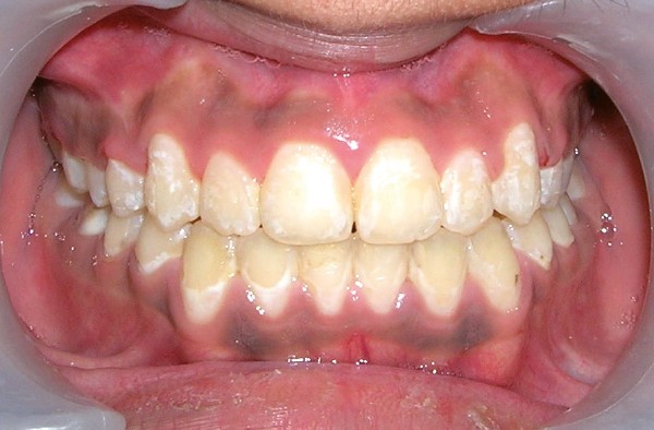
La formation des lésions opaques blanches sur la face vestibulaire des dents appareillées pendant et après un traitement orthodontique multi- attaches est une complication fâcheuse et commune ; elle a été décrite comme l’un des effets iatrogènes potentiels de l’orthodontie fixe.

Ces déminéralisations précarieuses, appelées également décalcifications ou déminéralisations amélaires, apparaissent sous forme de taches blanchâtres autour des attachements orthodontiques. Elles sont plus connues sous la dénomination anglo-saxonne « white-spot lesions » (WSL), et aboutissent dans de rares cas à de véritables cavitations, ce qui pose un problème à la fois esthétique et fonctionnel, et risque ainsi de compromettre le succès d’un traitement orthodontique, souvent long et minutieux [1, 2].

Plusieurs études ont été réalisées pour analyser le devenir de ces lésions après dépose de l’appareillage orthodontique. Ainsi, selon les auteurs, ces taches peuvent soit disparaître naturellement dans le temps, soit persister sans présenter d’évolution, ou encore évoluer vers des lésions cavitaires [3]. Tout dépend du risque carieux individuel et de la qualité des soins d’hygiène buccale réalisés par le patient : élimination de la plaque dentaire par brossage rigoureux et utilisation de brossettes et de fil dentaire [4].

Le fort risque de déminéralisation amélaire constitue alors un problème complexe de l’orthodontie clinique, qui reste encore mal contrôlé, malgré le développement et la progression du domaine de l’orthodontie.

Cas clinique

Un patient âgé de 13 ans en bon état de santé générale apparent se présente dans notre service pour une prise en charge orthodontique.
Le motif de consultation est esthétique, justifié
par la palato-position des incisives latérales supérieures, mais aussi fonctionnel. Le patient souhaite un alignement dentaire, une correction
de sa malocclusion et une amélioration esthétique…

Cet article est réservé aux abonnés.
Pour lire la suite :

Vous êtes abonné.e ? Connectez-vous
Mot de passe
oublié ?

Vous pouvez également :

Acheter l'article En version numérique

Thèmes abordés