Dents permanentes immatures compromises : quelle décision thérapeutique ?

  • Par
  • Publié le . Paru dans L'Orthodontiste n°3 - 15 juin 2015 (page 54-63)
Information dentaire
Face aux incisives et molaires compromises chez l’enfant de 8 à 10 ans, la décision thérapeutique est difficile, tant les critères sont nombreux; il existe cependant quelques règles pour aider le praticien à faire le meilleur choix.

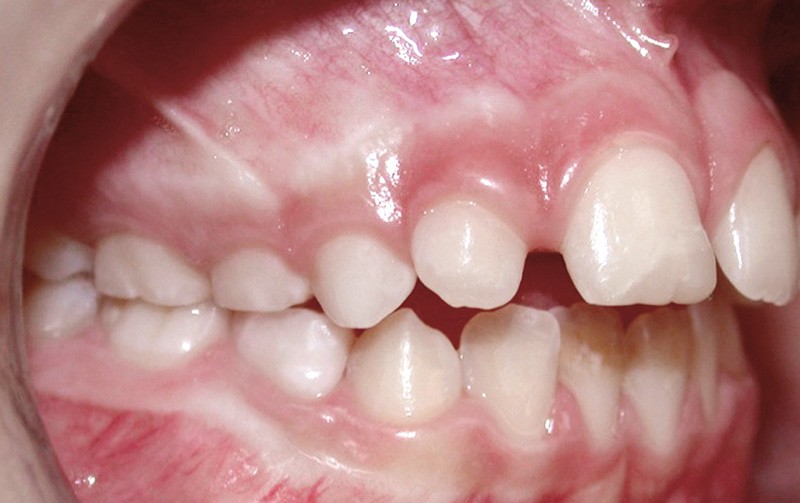
Les dents permanentes immatures le plus souvent délabrées ou compromises sont les premières molaires (parce que les plus exposées soit à la maladie carieuse, soit aux MIH : hypominéralisation molaires et incisives) et les incisives maxillaires (parce que les plus exposées aux traumatismes telles les fractures coronaires, coronoradiculaires voire les expulsions réimplantations…).
Dans ces situations, il y a trois attitudes thérapeutiques possibles chez ces enfants qui ont entre 7 et 10 ans : l’extraction immédiate obligatoire, le maintien sur l’arcade avec un pronostic réservé à court terme, la conservation de la dent avec un bon pronostic. Ceci est un premier paramètre important à prendre en compte : dent immédiatement condamnée, dent maintenable, dent conservable. Ensuite, de nombreux critères généraux peuvent intervenir dans la prise de décision : l’âge du patient, sa motivation aux traitements et à l’hygiène bucco-dentaire, une malocclusion associée, un encombrement maxillaire antérieur… Et des critères plus spécifiques à la dent délabrée : s’il s’agit d’une molaire : la présence ou non et la morphologie des troisièmes molaires, le nombre de molaires atteintes et leur situation ; s’il s’agit de dents antérieures : nombre d’incisives délabrées, importance du traumatisme. L’objectif de cet article est d’analyser les facteurs de décision propres à chaque dent compromise : molaire ou incisive, en fonction du pronostic de la dent et des facteurs environnementaux.

La molaire délabrée : conserver ou extraire ?

Avant de décider d’extraire une ou plusieurs molaires, il paraît nécessaire de se rappeler le rôle primordial de la première molaire dans la croissance et le développement des arcades dentaires et dans les fonctions occlusales. De par leur anatomie particulière tant au plan coronaire que radiculaire, leur situation dans l’arcade et les relations qu’elles entretiennent…

Cet article est réservé aux abonnés.
Pour lire la suite :

Vous êtes abonné.e ? Connectez-vous
Mot de passe
oublié ?

Vous pouvez également :

Acheter l'article En version numérique
Acheter le numéro À l'unité

Thèmes abordés