Dépistage des lésions des tissus durs : les formes cliniques les plus fréquemment rencontrées en omnipratique

  • Par
  • Publié le . Paru dans Réalités Cliniques n°3 - 15 septembre 2016 (page 129-137)
Information dentaire
Résumé
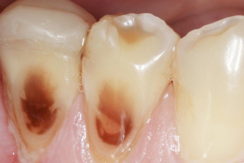
Le dépistage des lésions des tissus durs dentaires est une tache fondamentale du chirurgien-dentiste. Les principales lésions dentaires acquises sont les lésions carieuses et les lésions d’usure érosive et/ou abrasive. L’Hypominéralisation Incisivo-Molaire (MIH) est l’anomalie de structure dentaire la plus fréquemment rencontrée en pratique quotidienne. Le dépistage de ces lésions comprend deux étapes indissociables : l’examen clinique visuel et radiographique et la recherche des facteurs étiopathogéniques. L’inspection visuelle permet d’identifier la plupart des différentes formes cliniques de ces affections mais de nouvelles techniques, comme la fluorescence, peuvent être un bon complément à l’examen visuel. Cependant, concernant les lésions carieuses et les MIH, ces techniques ne permettent pas toujours de dépister ni d’évaluer leur extension. La radiographie reste l’examen complémentaire de choix et son indication doit être modulée en fonction des facteurs de risque.

Implication clinique
En omnipratique, le dépistage précoce des lésions carieuses, érosives et des MIH est fondamental pour assurer la meilleure prise en charge des patients.

Dépister les lésions des tissus durs fait partie de la prévention dentaire secondaire. La prévention secondaire consiste à réduire la prévalence d’une maladie en limitant son évolution et sa durée, grâce à des interventions précoces, le dépistage permettant quant à lui d’établir le diagnostic de la maladie.

Les lésions des tissus durs dentaires peuvent être acquises ou congénitales. Parmi les pathologies des tissus durs initialement sains, la maladie carieuse et l’érosion dentaire sont très fréquemment rencontrées en omnipratique et peuvent concerner les patients de tout âge [1].

La maladie carieuse est une maladie chronique multifactorielle susceptible de se développer chez tous les individus et à tout âge [2, 3]. Elle implique une interaction complexe au cours du temps entre des bactéries qui produisent des acides, un apport de sucres fermentescibles et des facteurs génétiques [4, 5], biologiques, physicochimiques, environnementaux et comportementaux liés à l’hôte [2]. Selon Lasfargues et Colon, le terme « maladie carieuse » implique la notion de processus pathologique dynamique alors que le terme « lésion carieuse » est évocateur de séquelles de la maladie carieuse [2].

L’érosion dentaire est une lésion d’usure non carieuse caractérisée par une perte progressive et irréversible des tissus durs en raison d’un processus chimique lié à la présence d’acides d’origine intrinsèque ou extrinsèque [2, 6]. Ces acides ne sont pas d’origine bactérienne [2, 6]. Toutes les tranches d’âge peuvent être concernées par les lésions érosives, notamment les enfants, adolescents, jeunes adultes et les personnes âgées [2]. L’étiologie est multifactorielle [7, 8].

Concernant les lésions congénitales, parmi la pléiade d’anomalies de structure que peut rencontrer le praticien, l’hypominéralisation molaire incisive ou MIH est la lésion la plus fréquente [9].

Le dépistage précoce des lésions…

Cet article est réservé aux abonnés.
Pour lire la suite :

Vous êtes abonné.e ? Connectez-vous
Mot de passe
oublié ?

Vous pouvez également :

Acheter l'article En version numérique
Acheter le numéro À l'unité