Dépistage des usages chroniques de substances psychoactives illicites

  • Par
  • Publié le . Paru dans Réalités Cliniques n°3 - 15 septembre 2016 (page 160-164)
Information dentaire
Résumé
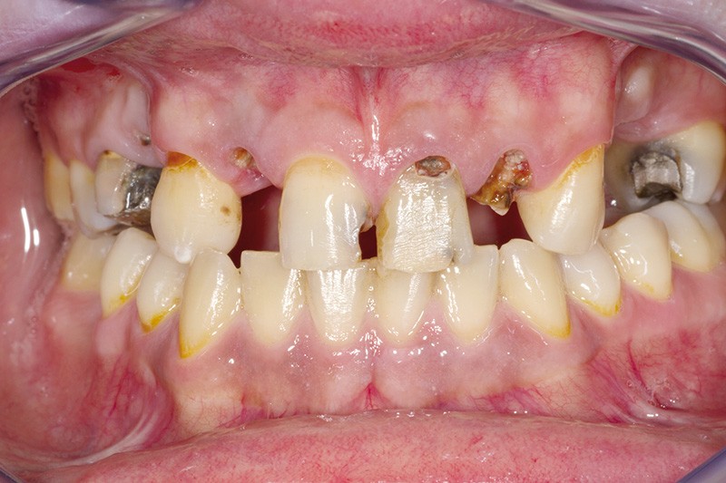
Dans une logique de politique de réduction des risques face à une prévalence croissante des usagers de substances psychoactives, une connaissance des effets sur la cavité orale d’une consommation chronique est nécessaire. Cannabis, cocaïne, produits de synthèse et opiacés vont entraîner hyposialie, augmentation du risque carieux, maladies parodontales. Le repérage précoce de ces lésions parfois atypiques permettra une meilleure prise en charge des différentes pathologies ainsi qu’une possibilité d’informer le patient ou de l’orienter vers des organismes spécialisés.

Implication clinique
La connaissance de l’influence de ces nouveaux facteurs de risque sur la sphère orale permettra d’adapter les thérapeutiques et d’informer, voire d’orienter le patient vers des organismes spécialisés.

L’addiction est une maladie complexe, d’un organe complexe, le cerveau, chez un mammifère complexe, dans une société complexe en évolution, pour laquelle il faut trouver des solutions simples. Le terme addiction a été introduit dans le vocabulaire médical en 1990 par Goodman qui définit celui-ci comme un “processus dans lequel est réalisé un comportement qui peut avoir comme fonction de procurer du plaisir et de soulager un malaise intérieur, et qui se caractérise par l’échec répété de son contrôle et sa persistance en dépit des conséquences négatives” [1].

Ce pragmatisme a émergé en France suite à l’épidémie du VIH-SIDA au milieu des années quatre-vingt avec la mise en vente libre de seringues pour limiter leur partage et la diffusion du virus. Ces premières mesures ont été suivies d’une médicalisation accessible à tous avec la prescription par les centres hospitaliers et les médecins généralistes de médicaments de substitution aux opiacés (Buprénorphine : Subutex® et Méthadone®).

Ces mesures, exemples de la politique de réduction des risques, furent officialisées dans notre pays par la Loi de Santé Publique de 2004.

Afin de s’inscrire dans ce mouvement sanitaire de prévention, de soins et de réduction des risques, notre travail consistera à impliquer les chirurgiens-dentistes par des stratégies de repérage précoce des usagers chroniques aux substances psychoactives illicites. Au premier rang de ces produits se trouvent le cannabis, la cocaïne, les nouveaux produits de synthèses (MDMA, ecstasy, LSD, kétamine…) et les opiacés (héroïne certes, mais de plus en plus comme aux Etats-Unis des médicaments opioïdes antalgiques largement prescrits).

Les addictions du XXIe siècle se caractérisent par une polyconsommation, un mélange des différentes substances psycho-actives avec la présence quasi constante et délétère de l’alcool et du tabac.

Notre objectif est d’effectuer un repérage…

Cet article est réservé aux abonnés.
Pour lire la suite :

Vous êtes abonné.e ? Connectez-vous
Mot de passe
oublié ?

Vous pouvez également :

Acheter l'article En version numérique
Acheter le numéro À l'unité