Cas n° 1
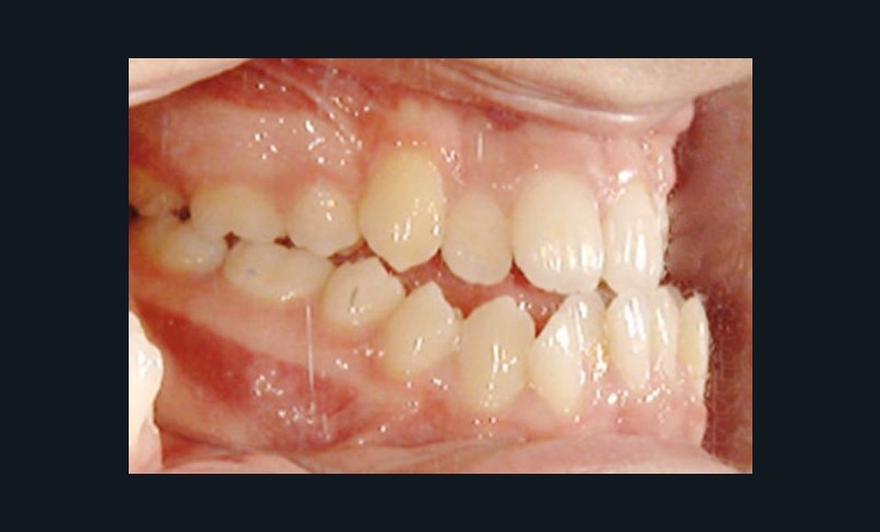
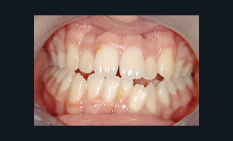
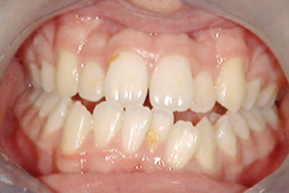
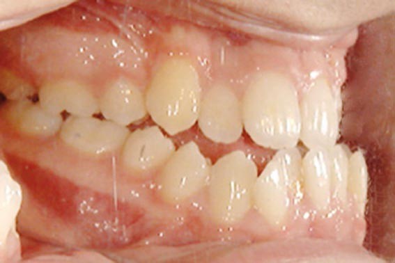
Olivier se présente à l’âge de 12 ans avec une classe III squelettique à prédominance mandibulaire, accompagnée d’une hyperdivergence et d’une endomaxillie responsable des inclusions des canines supérieures à forte obliquité. Une phase d’expansion est réalisée afin de permettre une augmentation du périmètre de l’arcade et la verticalisation des germes des canines. L’expansion permet en effet une normalisation transversale mais ne permet pas de réaliser la mise en place des canines. Les extractions des prémolaires sont alors effectuées et une préparation primaire de l’arcade supérieure par multi-attaches avec désinclusions et tractions des canines est réalisée.
Une pause thérapeutique est ensuite entamée jusqu’à la fin de croissance soit 18 ans. Une poursuite du traitement par préparation secondaire à la chirurgie orthognathique bimaxillaire est programmée.
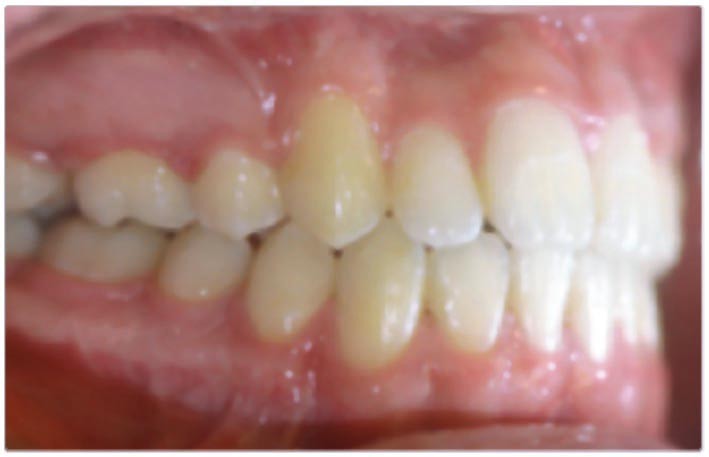
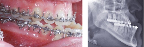
Les mouvements de décompensations sagittales et transversales sont réalisés à l’aide des tractions inter-arcades. La réévaluation céphalométrique et l’analyse des moulages confirment l’indication d’une chirurgie maxillaire de propulsion et d’une chirurgie mandibulaire par clivage bilatéral des branches montantes pour un recul mandibulaire modéré accompagné d’une génioplastie bidimensionnelle élargie qui rappelle la technique de Chin Wing.
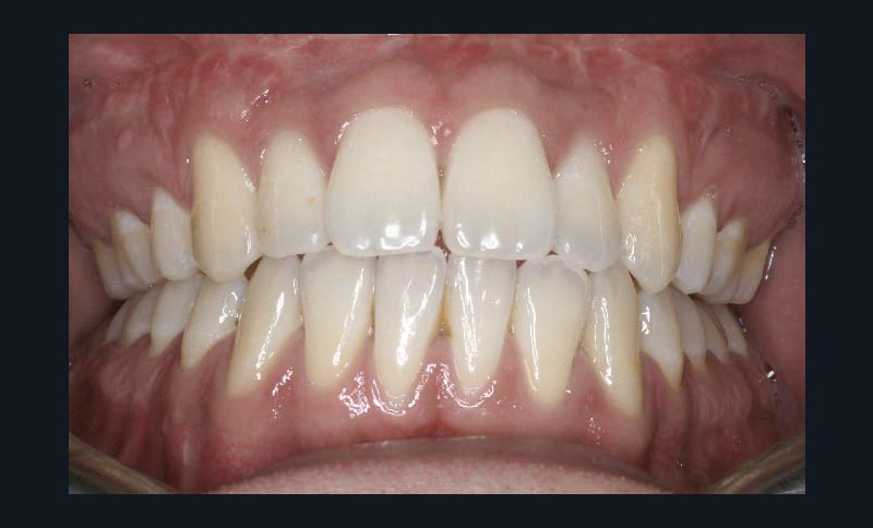
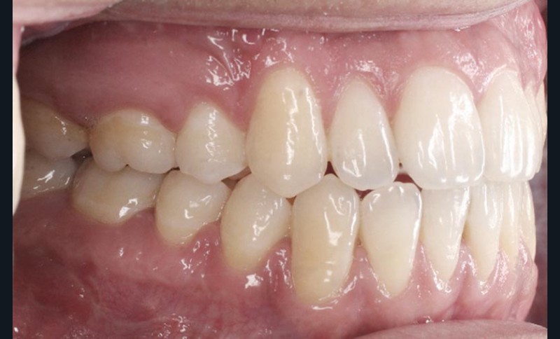
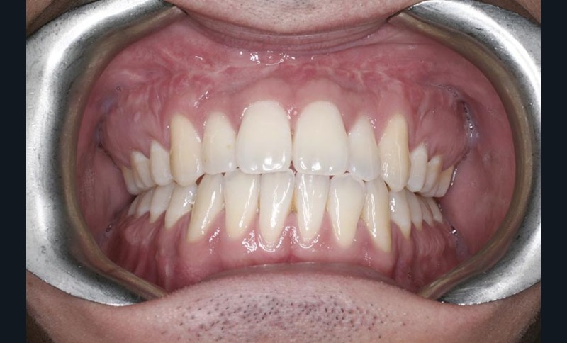
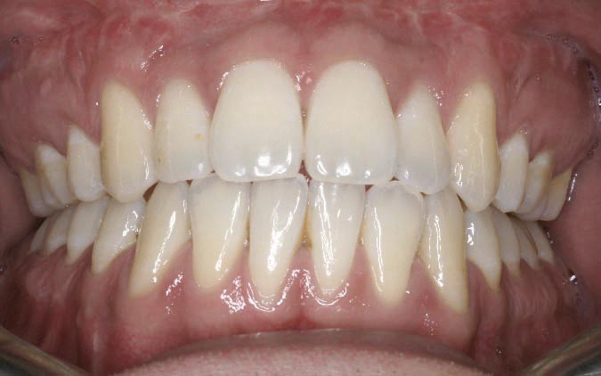
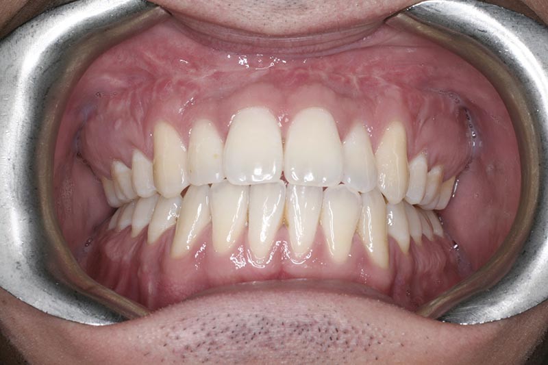
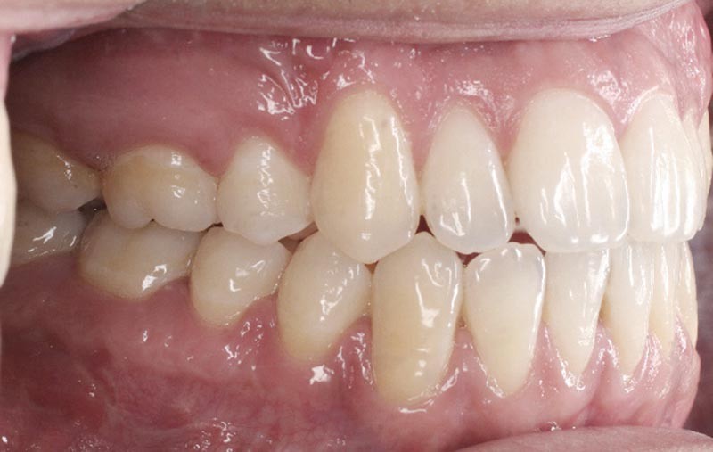
Les résultats esthétiques et occlusaux satisfont amplement le patient qui revient pour un contrôle à long terme 10 ans après l’intervention montrant la stabilité des résultats.
Cas n° 2
Bastien présente à l’âge de 8 ans les mêmes symptômes de dolichomandibulie…

















