Des dents alignées pour un joli sourire

  • Par
  • Publié le . Paru dans Profession Assistant(e) Dentaire
Information dentaire
Avoir un beau sourire est devenu un critère important pour la population : de belles dents alignées sont le signe de jeunesse et de bonne santé, et aimer son sourire donne confiance en soi.

Actuellement, beaucoup d’adultes ont recours à l’orthodontie pour parfaire leur sourire. Mais le traitement par bagues visibles en vestibulaire, aussi discrètes que soient ces dernières, en céramique, est un frein psychologique et social. Les patients pensent également que ce traitement durera très longtemps, ce qui n’est plus le cas, grâce aux nouvelles techniques.

Pourquoi aligner les dents antérieures ?

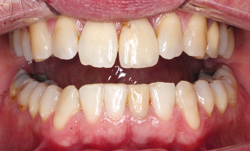
Les malpositions dentaires concernent les secteurs incisivo-canins, et sont associées à une normocclusion engrainante des secteurs latéraux postérieurs. À noter que s’il y a un décalage des secteurs postérieurs, le traitement d’orthodontie sera plus complexe.
En vieillissant, les dents migrent vers l’avant et les incisives, freinées par les lèvres, se chevauchent. Au temps préhistorique, cette migration physiologique était compensée par l’alimentation de viande crue ou de racines, aliments durs qui usaient les dents.
 
L’incidence esthétique est rapidement perçue par le patient, qui a comme référence les sourires des acteurs de films ou de séries télévisées qui affichent des dents sont blanches et alignées.
Brosser correctement des dents mal alignées est compliqué, et engendre un dépôt de plaque dentaire à l’endroit des malpositions. Les dents en linguo position, également difficiles à brosser, se colorent et deviennent plus sombres, et le tartre se dépose plus facilement. Ainsi, les problèmes parodontaux (gingivite, déchaussement des dents) sont souvent associés aux malpositions.
 
Les dents en malposition lors de la mastication ne s’engrènent plus bien avec leur antagoniste et, avec les mouvements dynamiques, elles s’usent au niveau des bords incisifs. Elles peuvent même s’effriter et casser.
Techniques orthodontiques invisibles
L’orthodontie corrige les malpositions dentaires et permet l’alignement du secteur antérieur. De nouvelles techniques orthodontiques invisibles se sont développées pour aligner…

Cet article est réservé aux abonnés.
Pour lire la suite :

Vous êtes abonné.e ? Connectez-vous
Mot de passe
oublié ?

Vous pouvez également :

Acheter l'article En version numérique

Thèmes abordés

Sur le même sujet

Esthétique

Article réservé à nos abonnés Un mois sans alcool pour repenser sa consommation : le Dry January revient

Le Défi de janvier (Dry January) revient e n 2026 pour sa septième édition. Cette campagne citoyenne semble s’imposer comme...
Esthétique

Article réservé à nos abonnés Rencontre avec Pierre Keller : gestion des tissus mous péri-implantaires

1er cas lauréatResponsable de séance : Othman MikouIntervenant : Pierre Keller  Extraction–implantation immédiate (EII) : volumes osseux et gingivaux suffisants...