L’hyperplasie gingivale correspond le plus souvent à une augmentation de volume du tissu conjonctif. Elle peut être localisée (épulis, tumeur maligne…) ou diffuse (gingivite chronique hyperplasique, hyperplasie gingivale iatrogène…), congénitale (fibromatose gingivale congénitale…) ou acquise, isolée ou symptomatique d’une affection systémique (maladie de Crohn, infiltration leucémique…).
Les causes de l’hyperplasie gingivale sont donc très nombreuses et d’une grande diversité.
CAS 1
Motif de la consultation
Patient de 35 ans venu consulter pour des douleurs dentaires et gingivales.
Histoire de la maladie
• Depuis environ sept ans, le patient présentait des épisodes douloureux intéressant les dents ou la gencive. Progressivement, ils sont devenus plus fréquents et les douleurs quasi permanentes ; elles gênaient beaucoup l’alimentation.
Interrogatoire
• L’interrogatoire a été rudimentaire car le patient répondait le plus souvent par oui ou par non et semblait incapable de formuler une phrase élémentaire. Il était traité pour une schizophrénie (amisulprid + clozapine + zolpidem), pour une hypertension artérielle sévère (hydrochlorothiazide + candésartan et amlodipine), pour un diabète de type 2 (empagliflozine) et pour une hypercholestérolémie (atorvastatine). Il présentait par ailleurs une obésité morbide.
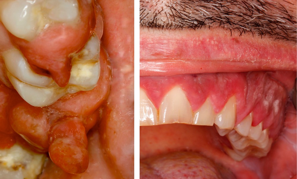
Examen clinique
• On observait une hyperplasie gingivale intéressant les 4 régions molaire-prémolaire, avec des dents plus ou moins mobiles ; les secteurs antérieurs étaient épargnés. Cette hyperplasie gingivale était par endroits très volumineuse et prenait parfois l’aspect d’un granulome pyogénique.
Examen paraclinique
• L’hyperplasie gingivale était revêtue par un épithélium malpighien kératinisé, irrégulier, comportant quelques ulcérations superficielles. Les crêtes épithéliales étaient par endroits discrètement hyperplasiques…
